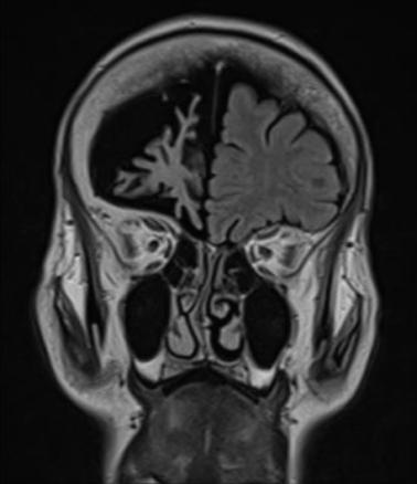
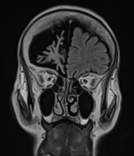
IRM cérébrale, coupe coronale. Le scanner cérébral montre une atrophie hémisphérique droite non connue, une lacune thalamique gauche et une surcharge athéromateuse des carotides.