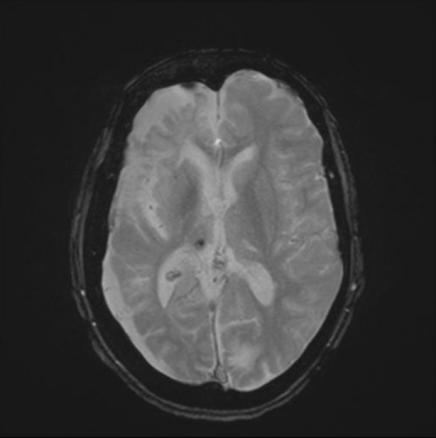
IRM cérébrale, coupe axiale. Le scanner cérébral montre une atrophie hémisphérique droite non connue, une lacune thalamique gauche et une surcharge athéromateuse des carotides.
Lire aussi
Article
Article
IRM cérébrale, coupe axiale. Le scanner cérébral montre une atrophie hémisphérique droite non connue, une lacune thalamique gauche et une surcharge athéromateuse des carotides.