Mpox (variole du singe)
ORTHOPOXVIROSE SIMIENNE
Image
Érythème noueux
ERYTHEME NOUEUX
Image
Lichen plan
LICHEN
Image
Kérion de Celse (teigne)
TEIGNE
Image
Nodule de sclérite
SCLERITE
Image
Sarcoïdose : Syndrome de Löfgren
SYNDROME DE LOFGREN
SARCOIDOSE
Image
Psoriasis en gouttes
PSORIASIS
Image
Ichtyose héréditaire
ICHTYOSE
Image
Luxation de l'épaule
LUXATION DE L'EPAULE
LUXATION
Image
Hypertrophie gingivale iatrogène
HYPERTROPHIE GINGIVALE
Image
Mucormycose cutanée
MUCORMYCOSE
Image
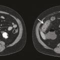
Lymphome B médiastinal primitif
LYMPHOME A GRANDES CELLULES
Image
Dermatomyosite
DERMATOMYOSITE
Image
Érysipèle
ERYSIPELE
Image
Xanthélasma
XANTHELASMA
Image
Psoriasis vulgaire
PSORIASIS
Image
Carcinome de Merkel
CARCINOME A CELLULES DE MERKEL
Image
Iléite
ILEITE
Image
Fistule anale supralévatorienne
FISTULE ANALE
Image
Adénocarcinome du moyen rectum
ADENOCARCINOME COLORECTAL
Image
Maladie de Crohn
ENTERITE DE CROHN
Image
Syndrome de Waardenburg
SYNDROME DE WAARDENBURG
Image
Prolapsus rectal externe et entérocèle trans-recto-anale largement extériorisée
PROLAPSUS RECTAL
ENTEROCELE
Image
Fasciite nécrosante
FASCIITE NECROSANTE
Image
Fasciite nécrosante
FASCIITE NECROSANTE
Image