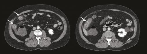
Iléite préterminale étendue se traduisant par un épaississement pariétal circonférentiel prenant le contraste (flèches). Extrait de : Vascularite à IgA de l’adulte