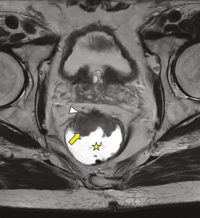
Adénocarcinome du moyen rectum chez un patient de 77 ans. Image axiale en pondération T2 d’une IRM rectale montrant une lésion tissulaire antérieure du moyen rectum (flèche) avec envahissement du mésorectum (T3) et spicules (tête de flèche) en regard des vésicules séminales.