Carcinome épidermoïde du sinus piriforme gauche
CANCER DES VOIES AERODIGESTIVES
CARCINOME EPIDERMOIDE DU SINUS PIRIFORME
Image
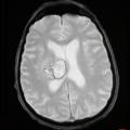
Hématome intracérébral profond
ACCIDENT VASCULAIRE CEREBRAL
Image
Maladie de Hodgkin
MALADIE DE HODGKIN
LYMPHADENOPATHIE
Image
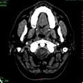
Adénopathies cervicales gauches métastatiques
CANCER DES VOIES AERODIGESTIVES SUPERIEURES
ADENOPATHIES CERVICALES
Image
Angine ulcéro-nécrotique gauche
PHARYNGITE
Image
Mélanonychie
ONGLE
COULEUR DES ONGLE
Image
Cristaux octaédriques (bipyramidaux) de weddellite
LITHIASE URINAIRE
Image
Calcul d'oxalate de calcium dihydraté ou weddellite, de type IIa
LITHIASE URINAIRE
Image
Calculs d'atazanavir
LITHIASE URINAIRE
Image
Calcul de whewellite de morphologie Ic
LITHIASE URINAIRE
Image
Image
Calcul de carbapatite, de morphologie IVa1
LITHIASE URINAIRE
Image
Calcul de cystine de morphologie Va induit par une cystinurie
LITHIASE URINAIRE
Image
Lésion dégénérative du ménisque médial
LESIONS PERI-ARTICULAIRES
LESIONS LIGAMENTAIRES
Image
Rupture du ligament croisé antérieur
LESIONS PERI-ARTICULAIRES
LESIONS LIGAMENTAIRES
Image
Fracture du pilon tibial
LESIONS PERI-ARTICULAIRES
LESIONS LIGAMENTAIRES
Image
Luxation gléno-humérale postérieure bilatérale
LESIONS PERI-ARTICULAIRES
LESIONS LIGAMENTAIRES
Image
Lésion méniscale médiale traumatique verticale de grade 3
LESIONS PERI-ARTICULAIRES
LESIONS LIGAMENTAIRES
Image
Syringomyélie
SYRINGOMYELIE
Image
Image
III extrinsèque partiel droit
NERF OCULOMOTEUR
BLEPHAROPTOSE
DIPLOPIE
Image
Image
Maladie de Behçet
MALADIE DE BEHCET
APHTOSE GENITALE
VERGE
Image
Adénocarcinome polymorphe de bas grade
ADENOCARCINOME
TUMEURS DE LA BOUCHE
Image
Érythème acral
ERYTHEME ACRAL
Image