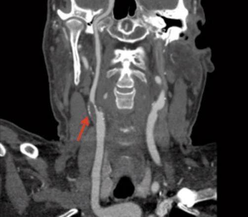
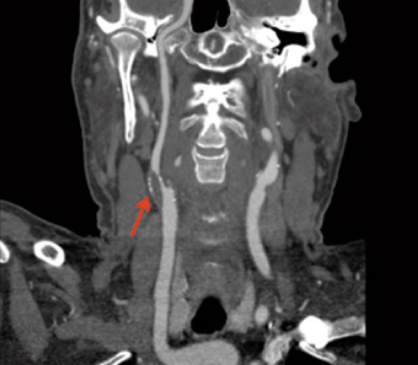
Angioscanner des troncs supra-aortiques, sténose de l'origine de la carotide interne droite associée à des calcifications