Skip to main navigation
Header navigation
Newsletters
Librairie
Plus
Sous menu plus
larevuedupracticien
larevuedupracticien
La rédaction
La rédaction
Indépendance
Indépendance
DPC
DPC
JNMG
JNMG
Annonces
Annonces
E-suppléments
E-suppléments
La Revue du Praticien
Navigation principale
Actualités
Vient de paraître
Tests
Culture
Recherche
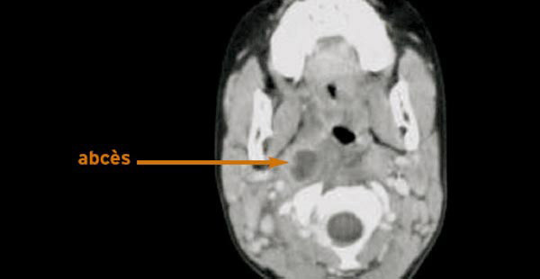
Abcès parapharyngé droit
Fil d'Ariane
Image
Abcès parapharyngé droit
Scanner cervical avec injection de produit de contraste.
Lire aussi
Article Web
Angines compliquées : conduite à tenir
Article
Angine à fausses membranes
Article
Pas d’AINS dans l’angine !
Article
Complications des angines