En augmentation, elles sont dues aux angines bactériennes (strepto A en tête).
Inflammation infectieuse des amygdales palatines, l’angine est le plus souvent une affection bénigne spontanément résolutive sous traitement symptomatique et/ou antibiothérapie.
Virale dans la majorité des cas, elle implique de nombreux pathogènes, mais la principale bactérie en cause est le streptocoque bêta-hémolytique du groupe A (SGA).
Quelques cas, toujours d’origine bactérienne, ont une évolution péjorative nécessitant des examens complémentaires et un traitement urgent. On distingue 2 types de complications : infectieuses systémiques, ou locales par diffusion dans l’espace péripharyngien.
Virale dans la majorité des cas, elle implique de nombreux pathogènes, mais la principale bactérie en cause est le streptocoque bêta-hémolytique du groupe A (SGA).
Quelques cas, toujours d’origine bactérienne, ont une évolution péjorative nécessitant des examens complémentaires et un traitement urgent. On distingue 2 types de complications : infectieuses systémiques, ou locales par diffusion dans l’espace péripharyngien.
Infections locorégionales
Phlegmon péri-amygdalien
Complication la plus fréquente de l’angine streptococcique (près de 1 %), elle concerne l’adulte jeune, plus rarement l’enfant. Un abcès polymicrobien se constitue entre la muqueuse pharyngée et les muscles pharyngés latéraux.1
Les symptômes sont une odynophagie (douleur à la déglutition), voire une aphagie entraînant une sialorrhée (faute de pou- voir avaler sa salive), un trismus (dû à une inflammation réactionnelle des muscles adjacents), une hyperthermie (inconstante). La voix est nasonnée (modification des résonateurs, en particulier œdème vélaire) et l’haleine fréquemment fétide.
Rendu difficile par le trismus, l’examen endobuccal met en évidence une voussure unilatérale du pilier antérieur, associée à un œdème et un refoulement controlatéral de la luette (fig. 1).
Les germes en cause sont ceux de la flore commensale (bacilles à Gram négatif anaérobies, coques à Gram positif, staphylocoque doré). Ils sont confirmés par l’analyse des prélèvements in situ.
Un scanner cervical injecté s’impose en cas de : trismus empêchant l’examen, doute quant à une extension présty- lienne d’évolution défavorable malgré un traitement bien conduit.
La prise en charge comporte une ponction exploratrice (identification des germes et antibiogramme) et évacuatrice associée ou non à un drainage complet, sous anesthésie (locale ou générale).
L’amygdalectomie préventive est réalisée uniquement après 2 récidives : la première survient dans 30 % des cas, dans 50 % pour la seconde.
L’antibiothérapie de choix est l’association amoxicilline-acide clavulanique (Augmentin) 3 g/j pendant 10 jours. Repos et alimentation molle sont conseillés.
Hormis l’adulte observant sans comorbidité, dont l’état est contrôlé à 48 heures, la prise en charge est hospitalière et l’anti-biothérapie intraveineuse pour éviter l’aggravation et l’extension (risque de cellulite cervicale par exemple).
Les symptômes sont une odynophagie (douleur à la déglutition), voire une aphagie entraînant une sialorrhée (faute de pou- voir avaler sa salive), un trismus (dû à une inflammation réactionnelle des muscles adjacents), une hyperthermie (inconstante). La voix est nasonnée (modification des résonateurs, en particulier œdème vélaire) et l’haleine fréquemment fétide.
Rendu difficile par le trismus, l’examen endobuccal met en évidence une voussure unilatérale du pilier antérieur, associée à un œdème et un refoulement controlatéral de la luette (fig. 1).
Les germes en cause sont ceux de la flore commensale (bacilles à Gram négatif anaérobies, coques à Gram positif, staphylocoque doré). Ils sont confirmés par l’analyse des prélèvements in situ.
Un scanner cervical injecté s’impose en cas de : trismus empêchant l’examen, doute quant à une extension présty- lienne d’évolution défavorable malgré un traitement bien conduit.
La prise en charge comporte une ponction exploratrice (identification des germes et antibiogramme) et évacuatrice associée ou non à un drainage complet, sous anesthésie (locale ou générale).
L’amygdalectomie préventive est réalisée uniquement après 2 récidives : la première survient dans 30 % des cas, dans 50 % pour la seconde.
L’antibiothérapie de choix est l’association amoxicilline-acide clavulanique (Augmentin) 3 g/j pendant 10 jours. Repos et alimentation molle sont conseillés.
Hormis l’adulte observant sans comorbidité, dont l’état est contrôlé à 48 heures, la prise en charge est hospitalière et l’anti-biothérapie intraveineuse pour éviter l’aggravation et l’extension (risque de cellulite cervicale par exemple).
Infection préstylienne
Elle est consécutive à la diffusion infectieuse depuis l’amygdale vers le fascia bucco-pharyngien et l’espace cellulo- graisseux paratonsillaire. Deux évolutions sont possibles : l’abcédation qui limite le processus, l’extension aux espaces cervicaux et la cellulite cervicale. Plus fréquente chez l’adulte jeune et l’adolescent, sa prise en charge est urgente et hospitalière. L’examen buccal, similaire à celui d’un phlegmon péri-amygdalien, montre en plus un refoulement antérieur de l’amygdale par la tuméfaction pharyngée latérale. Un scanner cervical avec injection est indispensable. Le traitement associe le plus souvent chirurgie et antibiothérapie (amoxicilline-acide clavulanique pendant 10 jours).
Cellulite cervico-faciale
Cette infection des zones profondes de la face et du cou s’étend via les espaces aponévrotiques en donnant un aspect rouge, cartonné, induré aux téguments. Elle peut engager le pronostic vital par atteinte de la base du crâne jusqu’au diaphragme (médiastinite) et par choc septique et/ou défaillance multiviscérale. Les facteurs favorisants sont une immunodépression spontanée ou par traitement immunosuppresseur, corticoïde ou anti-inflammatoire : se méfier de l’automédication. Son incidence augmente (< 0,5 %).
Cette urgence ORL vitale impose le scanner cervicothoracique injecté. Mise à plat et drainage chirurgicaux sont immédiats, comme le transfert en réanimation et l’injection d’antibiotiques intraveineux.2 En probabiliste : céphalosporine de 3e géné- ration et imidazolé, choix adapté ensuite à l’antibiogramme des germes identifiés.
Cette urgence ORL vitale impose le scanner cervicothoracique injecté. Mise à plat et drainage chirurgicaux sont immédiats, comme le transfert en réanimation et l’injection d’antibiotiques intraveineux.2 En probabiliste : céphalosporine de 3e géné- ration et imidazolé, choix adapté ensuite à l’antibiogramme des germes identifiés.
Médiastinite
L’infection diffuse au médiastin par l’espace rétropharyngé, prévertébral, carotidien et viscéral. Favorisée par la prise de corticoïdes, elle est létale par atteintes cardiovasculaires et pulmonaires. Le scanner injecté retrouve l’infiltration des tissus et précise son extension.
Le drainage urgent avec excision des tissus nécrotiques est complété d’une amygdalectomie (éradication du foyer infectieux). Il est déclive via des lames ou drains tubulés.
L’antibiothérapie intraveineuse en réanimation est dirigée contre plusieurs germes (streptocoques et anaérobies).
Le drainage urgent avec excision des tissus nécrotiques est complété d’une amygdalectomie (éradication du foyer infectieux). Il est déclive via des lames ou drains tubulés.
L’antibiothérapie intraveineuse en réanimation est dirigée contre plusieurs germes (streptocoques et anaérobies).
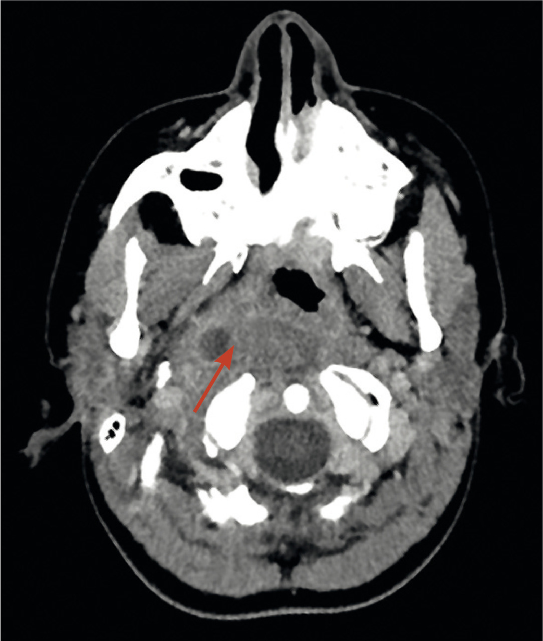
Adénite rétrostylienne, abcès parapharyngé
Ils compliquent les rhinopharyngites ou angines de l’enfant de moins de 7 ans. En cause : staphylocoque, streptocoque, anaérobies (comme dans le phlegmon).3 Très évocateurs : un torticolis avec hyperthermie et grande altération de l’état général. On palpe un empâtement cervical et souvent plusieurs adénomégalies. Le bombement latéral du pharynx est inconstant. Le scanner injecté confirme le diagnostic, localise la collection et d’éventuelles complications (fig. 2). L’intervention urgente consiste en une antibiothérapie IV associée ou pas au drainage chirurgical.
Adénophlegmon
Adénite suppurée avec collection liquidienne, elle peut provoquer un torticolis avec empâtement cervical. L’échographie de première intention précise sa topographie. Si la collection est authentifiée, une ponction peut être initialement réalisée. En cas d’échec, on envisage un drainage chirurgical. Cela dépend de la taille et de la localisation de l’adénopathie. L’antibiothérapie – amoxicilline-acide clavulanique ou céphalosporine – couvre les infections à SGA et staphylocoque doré (le plus souvent en cause chez le nourrisson).
Syndrome de Lemierre
Rare, il associe une thrombose de la veine jugulaire interne à des emboles septiques pulmonaires, se manifestant inconstamment par toux, dyspnée, hémoptysie ou douleur thoraco-pleurale. Une paralysie des nerfs crâniens (IX, X, XI, XII) et/ou un syndrome de Claude-Bernard-Horner témoignent d’une atteinte des ganglions sympathiques. Le scanner cervico-thoracique injecté est le plus adapté au diag- nostic et au suivi de nouveaux thrombus. Le responsable étant Fusobacterium necrophorum, l’antibiothérapie IV prolongée (3 à 6 semaines) est à large spectre anaérobie, avec anticoagulation à dose efficace en cas de thrombophlébite avérée.
Lire aussi | Angines compliquées : conduite à tenir
Extension systémique
L’angine à SGA évolue favorablement en quelques jours, même sans traitement. Les complications générales, rares mais graves (< 1 %), justifient une antibiothérapie, courte et ciblée.
Complications immunes
Elles sont dues à des complexes immuns circulants, associant antigènes streptococciques et immunoglobulines G qui se déposent dans les glomérules rénaux et les articulations.
Le rhumatisme articulaire aigu (RAA), touchant l’enfant d’âge scolaire et l’adulte jeune dans 92 % des cas, débute 15 à 20 jours après l’infection initiale par des signes cutanés (nodosités de Meynet, érythème marginé), articulaires (poly-arthrite migratrice ou mono-arthrite). Sa gravité est liée aux atteintes cardiaques (péricardite, myocardite, valvulopathie), ou neurologiques (chorée de Sydenham responsable de mouvements involontaires désordonnés, anarchiques, diffus, bilatéraux). Il est actuellement rarissime : entre 10 et 15 cas par an.
La glomérulonéphrite post-streptococcique (entre 0 et 10 %) survient 10 à 20 jours après l’angine (hématurie, protéinurie, œdèmes). Seules certaines souches M sont concernées (dites néphritogènes : groupes A12 et A 49). En l’absence d’antibiothérapie, le risque est celui d’une insuffisance rénale irréversible (rare).
Le rhumatisme articulaire aigu (RAA), touchant l’enfant d’âge scolaire et l’adulte jeune dans 92 % des cas, débute 15 à 20 jours après l’infection initiale par des signes cutanés (nodosités de Meynet, érythème marginé), articulaires (poly-arthrite migratrice ou mono-arthrite). Sa gravité est liée aux atteintes cardiaques (péricardite, myocardite, valvulopathie), ou neurologiques (chorée de Sydenham responsable de mouvements involontaires désordonnés, anarchiques, diffus, bilatéraux). Il est actuellement rarissime : entre 10 et 15 cas par an.
La glomérulonéphrite post-streptococcique (entre 0 et 10 %) survient 10 à 20 jours après l’angine (hématurie, protéinurie, œdèmes). Seules certaines souches M sont concernées (dites néphritogènes : groupes A12 et A 49). En l’absence d’antibiothérapie, le risque est celui d’une insuffisance rénale irréversible (rare).
Atteinte toxique
Les toxines érythrogènes (A, B et C) du SGA en sont responsables.
Dans la scarlatine, 24 à 48 heures après l’angine fébrile, survient un exanthème (et un énanthème buccal) caractéristique : granité à la palpation, débutant aux plis de flexion, s’étendant à tout le revêtement cutané sauf paumes de main et plantes de pied.3 Il s’estompe après 6 jours et desquame jusqu’au 15e jour. La desquamation de l’énanthème est typique, rouge, au piqueté « framboisé ». Dans les formes fugaces, fréquentes, l’énanthème buccal est évocateur (langue dépapillée avec V lingual), l’éruption cutanée étant trop pâle et limitée.
Le traitement de l’angine est court (6 j au maximum) : amoxicilline ou céphalosporine de 2e ou 3e génération. Les macrolides sont à réserver aux allergies documentées à la pénicilline et aux souches avérées sensibles (culture et antibiogramme).
Le syndrome de choc toxique est une réaction inflammatoire systémique aiguë d’évolution rapide due aux toxines A et C qui jouent les superantigènes sur terrain prédisposé (HLA) : hyperthermie (> 39 °C), éruption cutanée diffuse, hypotension artérielle importante, défaillance multiviscérale. Le pronostic vital est engagé (taux de décès entre 20 et 30 %). Réanimation et antibiothérapie adaptée – bêtalactamines + clindamycine – s’imposent. l
Dans la scarlatine, 24 à 48 heures après l’angine fébrile, survient un exanthème (et un énanthème buccal) caractéristique : granité à la palpation, débutant aux plis de flexion, s’étendant à tout le revêtement cutané sauf paumes de main et plantes de pied.3 Il s’estompe après 6 jours et desquame jusqu’au 15e jour. La desquamation de l’énanthème est typique, rouge, au piqueté « framboisé ». Dans les formes fugaces, fréquentes, l’énanthème buccal est évocateur (langue dépapillée avec V lingual), l’éruption cutanée étant trop pâle et limitée.
Le traitement de l’angine est court (6 j au maximum) : amoxicilline ou céphalosporine de 2e ou 3e génération. Les macrolides sont à réserver aux allergies documentées à la pénicilline et aux souches avérées sensibles (culture et antibiogramme).
Le syndrome de choc toxique est une réaction inflammatoire systémique aiguë d’évolution rapide due aux toxines A et C qui jouent les superantigènes sur terrain prédisposé (HLA) : hyperthermie (> 39 °C), éruption cutanée diffuse, hypotension artérielle importante, défaillance multiviscérale. Le pronostic vital est engagé (taux de décès entre 20 et 30 %). Réanimation et antibiothérapie adaptée – bêtalactamines + clindamycine – s’imposent. l
références
1. Leveque P, Pons Y. Odynophagie fébrile. Rev Prat Med Gen 2011;25:518-9.
2. Tran Ba Huy P. Cellulites cervico-faciales. Rev Prat 2013;63:755-8.
3. Bourrillon A. Scarlatine en 2009. Rev Prat Med Gen 2009;23:390.
2. Tran Ba Huy P. Cellulites cervico-faciales. Rev Prat 2013;63:755-8.
3. Bourrillon A. Scarlatine en 2009. Rev Prat Med Gen 2009;23:390.