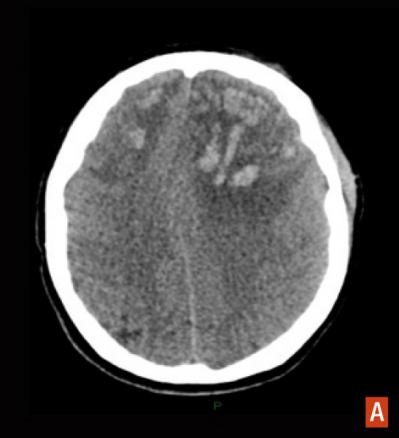
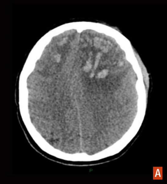
Hématome lobaire frontal bilatéral, secondaire à une thrombose veineuse du sinus sagittal supérieur. Hyperdensité spontanée associée à un oedème avec effet de masse, TDM cérébrale sans injection.