Psoriasis du coude
PSORIASIS
Image
Sillons scabieux
GALE
Image
Image
Bursite infectieuse
BURSITE
STAPHYLOCOCCIE
STREPTOCOCCIE
Image
Kérion pubien
TEIGNE
Image
Hidradénome papillifère périnéovulvaire.
HIDRADENOME PAPILLIFERE
Image
Image
Image
Syndrome de DOMS
TRAUMATISME DES BRAS
OEDEME
Image
Syndrome de DOMS
TRAUMATISME DES BRAS
Image
Atteintes des artères temporales de l'artérite à cellules géantes
ARTERITE A CELLULES GEANTES
Image
Double arc aortique
NOURRISSON
Image
Sinus pilonidal infecté
SINUS PILONIDAL
Image
Arrachements apophysaires
FRACTURE AVULSION
Image
Maladie de Paget de localisation atypique
MALADIE DE PAGET DU SEIN
Image
Conjonctivite pseudomembraneuse dans une nécrolyse épidermique due à une toxidermies médicamenteuses
TOXIDERMIES
CONJONCTIVITE PSEUDOMEMBRANEUSE
Image
Érythème pigmenté fixe bulleux généralisé dû à une toxidermie
TOXIDERMIES
ERYTHEME PIGMENTE FIXE
Image
Varicelle
VARICELLE
Image
Nævus sébacé
NAEVUS SEBACE DE JADASSOHN
Image
Dermatite de contact allergique au henné pur
ECZEMA DE CONTACT
DERMATITE
Image
Hypertrophie gingivale
HYPERTROPHIE GINGIVALE
Image
Hypominéralisation molaires incisives
HYPOPLASIE DE L'EMAIL DENTAIRE
Image
Abcès de cornée
MALADIES DE L'OEIL
PATHOLOGIE DE LA CORNEE
Image
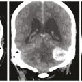
Hémangioblastome cérébelleux sporadique
HEMANGIOBLASTOME
Image