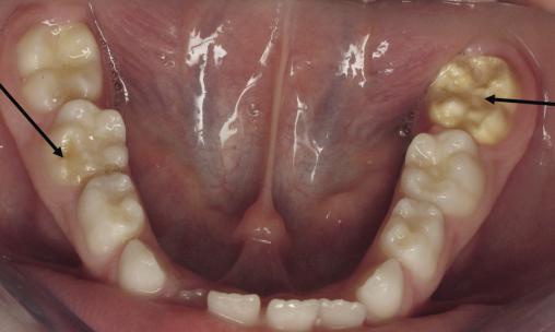
Atteinte MIH sur la dent n° 36 (première molaire permanente mandibulaire gauche) et HSMP sur la dent n° 85 (deuxième molaire temporaire mandibulaire droite).
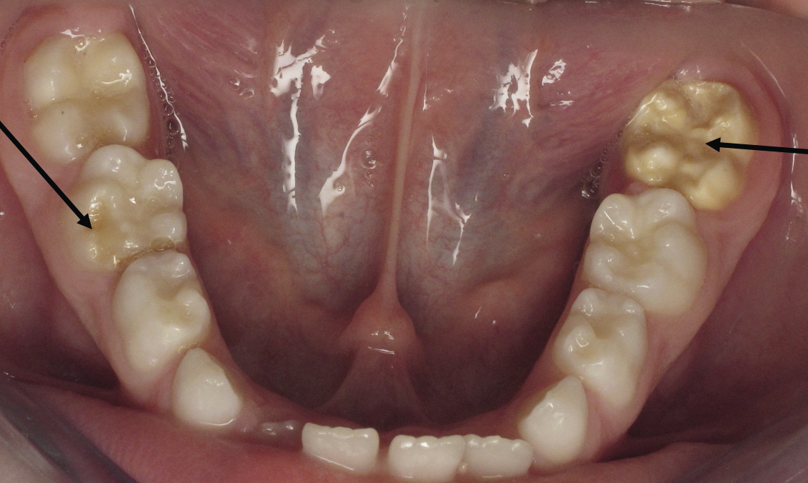
Atteinte MIH sur la dent n° 36 (première molaire permanente mandibulaire gauche) et HSMP sur la dent n° 85 (deuxième molaire temporaire mandibulaire droite).