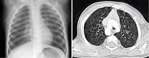
Radio du thorax et scanner thoracique revelant un double arc aortique compressif. Il s'agit d'une anomalie cardiaque fœtale responsable de compression trachéobronchique et/ou œsophagienne.
Lire aussi
Article Web
Article Web
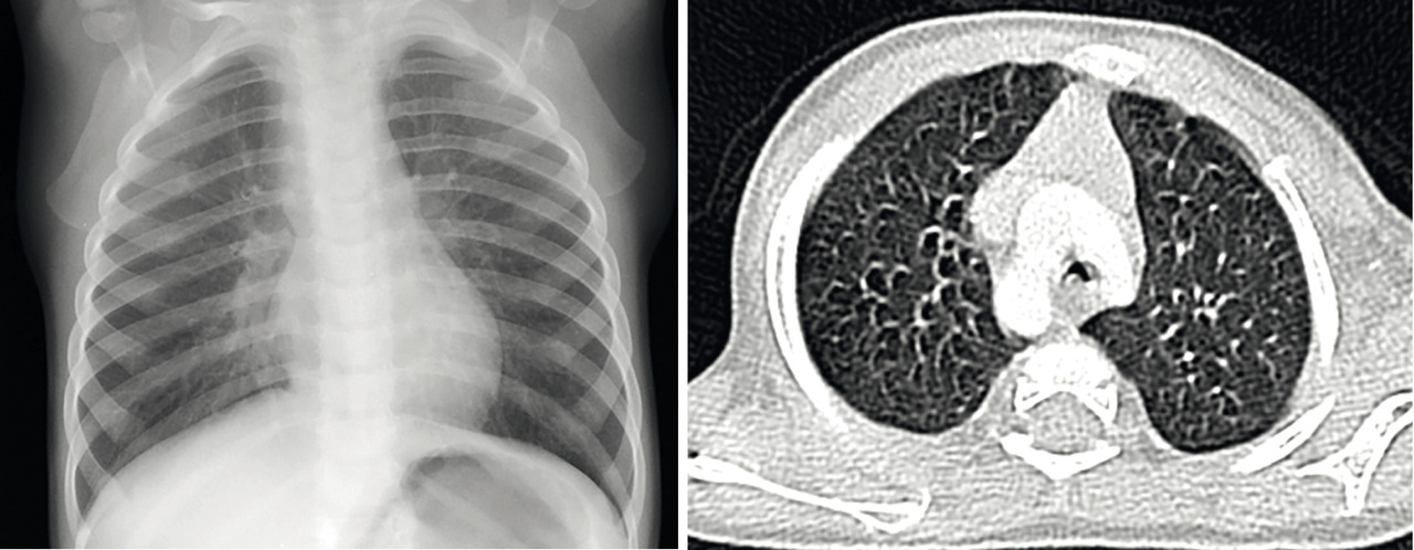
Radio du thorax et scanner thoracique revelant un double arc aortique compressif. Il s'agit d'une anomalie cardiaque fœtale responsable de compression trachéobronchique et/ou œsophagienne.