Recherche avancée

Précisez votre recherche

Par mots
Par parution

Affinez votre recherche en cliquant sur les rubriques (articles, dossiers, tests...)

Displaying 1276 - 1300 of 1537

Forme exsudative de DMLA (fond d'œil)

DEGENERESCENCE MACULAIRE
Image

Varicelle

VARICELLE
nn
Image
promo

Maculopathie diabétique ischémique

RETINOPATHIE DIABETIQUE
Image

Herpès génital

HERPES GENITAL
Herpès génital
Image

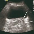
Grossesse extra-utérine : signe direct

GROSSESSE EXTRA-UTERINE
Image

Glomérulonéphrite extra-membraneuse

GLOMERULONEPHRITE EXTRA-MEMBRANEUSE
Image

Forme atrophique de DMLA (fond d'œil)

DEGENERESCENCE MACULAIRE
Image

Dermatite atopique de l'enfant

DERMATITE ATOPIQUE
ECZEMA CONSTITUTIONNEL
dermatite atopique
Image

Salpingectomie

LAPAROSCOPIE
SALPINGECTOMIE
GROSSESSE EXTRA-UTERINE
salpingectomie
Image

Rétine

RETINE
Image

Dermatite atopique de l'enfant

DERMATITE ATOPIQUE
po
Image

Facture du radius : embrochage intrafocal

FRACTURES DU RADIUS
OSTEOSYNTHESE
fracture radius
Image

Compression médullaire métastatique

CANCER
COMPRESSION MEDULLAIRE
a
Image

Tumeur à cellules géantes

TUMEUR A CELLULES GEANTES
Image

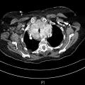
Tumeurs des glandes salivaires

TUMEURS DES GLANDES SALIVAIRES
CANCER DE LA GLANDE SALIVAIRE
e
Image

Syndrome douloureux régional complexe

SYNDROME DOULOUREUX REGIONAL COMPLEXE
GONALGIE
Image

Mpox (variole du singe) 

ORTHOPOXVIROSE SIMIENNE
A
Image

Goitre plongeant

GOITRE PLONGEANT
Image

Spondylolyse

SPONDYLOSE
i
Image
Image
Image
Image

Calculs fragmentés

CALCULS FRAGMENTES
Image

Calcul urétéral

CALCULS URETERAUX
Image