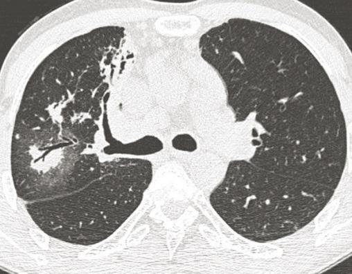
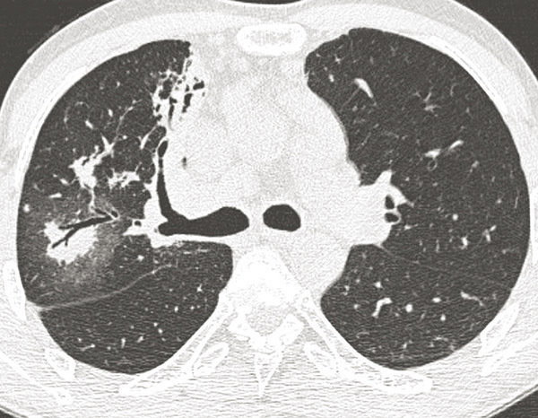
© Sylvain Poirée - La Revue du Praticien Tomodensitométrie thoracique en coupes millimétriques, en inspiration, montrant un nodule entouré d'hyperdensités en verre dépoli (signe du halo).