Skip to main navigation
Header navigation
Newsletters
Librairie
Plus
Menu du compte de l'utilisateur
S'abonner
Bookmark page
Sous menu plus
larevuedupracticien
larevuedupracticien
La rédaction
La rédaction
Indépendance
Indépendance
DPC
DPC
JNMG
JNMG
Annonces
Annonces
E-suppléments
E-suppléments
La Revue du Praticien
Navigation principale
Actualités
Vient de paraître
Tests
Culture
Recherche
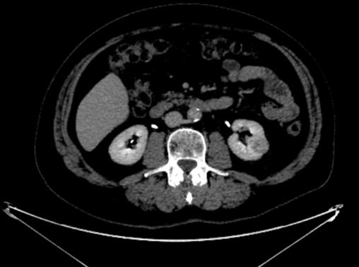
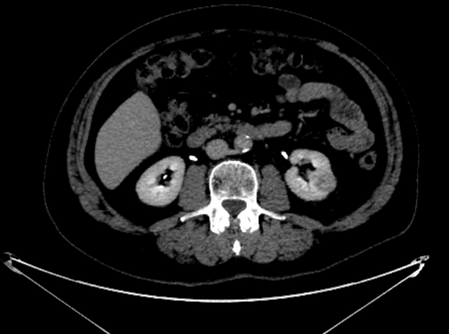
Tumeur du pole supérieur du rein gauche
Lire plus tard
Partager
Imprimer
Ce contenu est exclusivement réservé aux abonnés
Fil d'Ariane
Image
Tumeur du pole supérieur du rein gauche
Théo Arber, La Revue du Praticien
Scanner abdominopelvien au temps tubulaire.
Lire aussi
Exercice
Dossier progressif n° 281
Exercice
Image mystérieuse n°427
Article Web
Cancer du rein : quelles nouveautés ?
Article
Cancer du rein
Article
Ne plus traiter un cancer du rein sans une biopsie préalable
Article
Traitements médicaux des cancers du rein métastatiques : le ciblage de l’environnement tumoral