Syphilis cutanée
SYPHILIS CUTANEE
Image
Herpès lombaire
HERPES
Image
Ganglion cervical : adénite nécrosante granulomateuse
GRANULOME
TUBERCULOSE GANGLIONNAIRE
Image
Syndrome de Kaposi-Juliusberg
ERUPTION VARICELLIFORME DE KAPOSI
Image
Tumeur rénale
TUMEURS DU REIN
NEPHRECTOMIE
Image
Adénocarcinome de prostate
ADENOCARCINOME
TUMEURS DE LA PROSTATE
Image
Syphilides
SYPHILIS CUTANEE
Image
Forme exsudative de dégénérescence maculaire liée à l'âge
DEGENERESCENCE MACULAIRE
Image
Rétine maculaire normale
RETINE
Image
Gingivite
GINGIVITE
Image
Cancer de la prostate (stade IV)
TUMEURS DE LA PROSTATE
Image
Fracture extra-articulaire à déplacement postérieur et son traitement
FRACTURE DE POUTEAU-COLLES
Image
Fracture du radius extra-articulaire à déplacement postérieur
FRACTURES DU RADIUS
Image
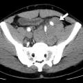
Calcul urétéral
CALCULS URETERAUX
HYDRONEPHROSE
Image
Calcul de type Ic
UROLITHIASE
HYPEROXALURIE
Image
Calcul urétéral
CALCULS URETERAUX
Image
Calcul urétéral
CALCULS URETERAUX
Image
Section d’un calcul de whewellite
UROLITHIASE
HYPEROXALURIE
Image
Calculs de carbapatite de type IVa2
UROLITHIASE
ACIDOSE TUBULAIRE RENALE
Image
Lymphome T cutané
LYMPHOME T CUTANE
Image
Lupus discoïde
LUPUS
Image
Écarteur mini-invasif
DISCECTOMIE
Image
Hernie discale chez une femme de 30 ans
LOMBALGIE
DEPLACEMENT DE DISQUE INTERVERTEBRAL
Image
Leucoplasie orale chevelue
LEUCOPLASIE CHEVELUE
LEUCOPLASIE
LANGUE
Image
Stomatite
STOMATITE
Image