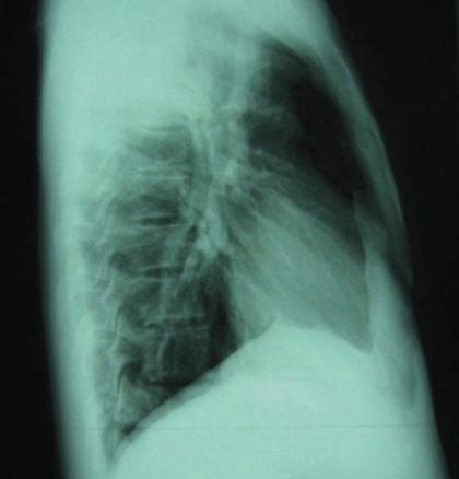
©La Revue du Praticien Radiographie de thorax de profil. Condensation alvéolaire du lobe supérieur droit due à une pneumonie à pneumocoque.