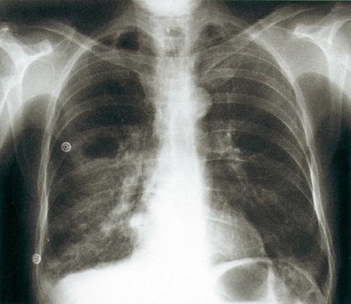
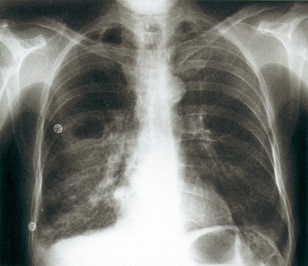
Radiographie de thorax de face. Pneumonie abcédée d'inhalation, axillaire droite chez un porteur d'un cancer ORL traité par chirurgie et radiothérapie.