Endométriose superficielle du péritoine prévésical
ENDOMETRIOSE
Image
Endométriose pelvienne profonde
ENDOMETRIOSE
Image
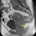
Kyste ovarien endométriosique ou endométriome
KYSTES DE L'OVAIRE
ENDOMETRIOSE
Image
Chondrocalcinose du ligament triangulaire du carpe
ARTHROPATHIES A CRISTAUX
Image
Chondrocalcinose articulaire
ARTHROPATHIES A CRISTAUX
Image
Panaris compliqué d'une arthrite septique
INFECTIONS DES TISSUS MOUS
PARONYCHIE
Image
Traitement chirurgical d'un phlegmon
INFECTIONS DES TISSUS MOUS
CELULLITE SOUS-CUTANEE
Image
Phlegmon dorsal
INFECTIONS DES TISSUS MOUS
CELULLITE SOUS-CUTANEE
Image
Arrachement de l'épine iliaque inférieure
FRACTURES OSSEUSES
ENFANT
EXERCICE PHYSIQUE
Image
Lipoatrophie faciale
LIPODYSTROPHIE
Image
Ostéochondrose articulaire du coude
FRACTURES OSSEUSES
ENFANT
EXERCICE PHYSIQUE
Image
Sténose au cours d’une maladie de Crohn iléale
MALADIES INFLAMMATOIRES INTESTINALES
ENTERITE DE CROHN
Image
Lithiase de canaux salivaires
MALADIES DES GLANDES SALIVAIRES
CALCULS SALIVAIRES CANALAIRES
Image
Tori mandibulaires
MALADIES DE LA GENCIVE
Image
Phénomène de Raynaud
RAYNAUD
MALADIE DE RAYNAUD
Image
Spongiose
ECZEMA
SPONGIOSE
Image
Hémangiome multifocal infantile
HEMANGIOME
ANGIOME
Image
Anonychie
ANONYCHIE
ONGLE
Image
Taches café au lait dans une neurofibromatose de type 1
NEUROFIBROMATOSE DE TYPE 1
TACHE CAFE AU LAIT
Image
Granulome facial de Lever
GRANULOME
Image
Hémangiome capillaire
HEMANGIOME
Image
Nævus de Sutton ou halonævus
NAEVUS DE SUTTON
Image
Tumeur de Buschke-Löwenstein
CONDYLOMES ACUMINES
MALADIE SEXUELLEMENT TRANSMISSIBLE
Image
Ostéonécrose de la mâchoire
DIPHOSPHONATES
OSTEONECROSE DE LA MACHOIRE
Image
Synostose radio-ulnaire congénitale
SYNOSTOSE RADIO-ULNAIRE
SYNOSTOSE
Image