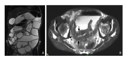
Sténose au cours d’une maladie de Crohn iléale chez un patient de 51 ans.

Dilatation d’amont visible en séquences pondérées T2 en coupe coronale (A) ; sur la coupe B, la sténose avec un épaississement pariétal (flèches) s’accompagne d’ulcérations profondes (*) et d’une fistulisation au rectosigmoïde en arrière (‡).