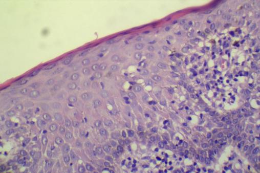
Une biopsie cutanée a été effectuée chez une patiente de 14 ans consultant pour eczéma. Dans cette biopsie, une spongiose est visible : c'est cette accumulation de liquide (blanc) entre les kératinocytes qui confluent pour donner des microvésicules ; on observe entre les kératinocytes des petits traits qui correspondent aux desmosomes. La spongiose est, avec la vésiculation, caractéristique de l'eczéma.
Lire aussi
Article Web
Article Web
Exercice