Fracture du fémur
FRACTURE
Image
Angioedème sous IEC
ANGIOEDEME
Image
Calcul médicamenteux
UROLITHIASE
HYPERCALCIURIE
EFFETS SECONDAIRES INDESIRABLES DES MEDICAMENTS
Image
Lithiases phospho-calciques
UROLITHIASE
Image
Calcul d’acides uriques
UROLITHIASE
Image
Calcul de N-acétylsulfadiazine
UROLITHIASE
Image
Calcul oxalo-phosphocalcique
UROLITHIASE
HYPERCALCIURIE
Image
Calcul de whewellite
UROLITHIASE
Image
Lithiase d'oxalate de calcium
UROLITHIASE
Image
Calcul de brushite de type IVd
UROLITHIASE
HYPERCALCIURIE
HYPERCALCEMIE
HYPERPARATHYROIDIE
Image
Lymphome T cutané : syndrome de Sézary
SYNDROME DE SEZARY
Image
Lupus cutané subaigu
LUPUS
Image
Abord interlamaire L5 sous fluoroscopie
LOMBALGIE
CHIRURGIE
Image
Image
Canal lombaire rétréci en L4L5
LOMBALGIE
STENOSE DU CANAL VERTEBRAL
Image
Abord foraminal L5-S1 sous fluoroscopie
LOMBALGIE
CHIRURGIE
Image
Leucoplasie végétante
LEUCOPLASIE BUCCALE
Image
Lymphome T cutané : mycosis fongoïde
MYCOSIS FONGOIDE
Image
Lymphome T cutané : papulose lymphomatoïde
PAPULOSE LYMPHOMATOIDE
Image
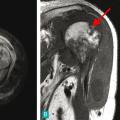
Arthrite staphylococcique de l'épaule gauche
ARTHRITE INFECTIEUSE
INFECTIONS OSSEUSES
Image
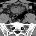
Infection sur prothèse de hanche
INFECTIONS OSSEUSES
PROTHESE DE HANCHE
Image
Lésions ano-périnéales sévères au cours d'une maladie de Crohn.
MALADIE DE CROHN
Image
Rectocolite hémorragique
RECTOCOLITE HEMORRAGIQUE
Image
Maladie de Crohn : aspect endoscopique
MALADIE DE CROHN
Image
Rectocolite hémorragique de score 0
RECTOCOLITE HEMORRAGIQUE
Image