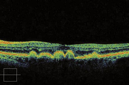
© Jean-François Korobelnik, La Revue du Praticien Tomographie en cohérence optique d'une maculopathie liée à l'âge. L'aspect bosselé correspond aux drusen sous rétiniens.