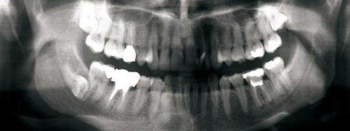
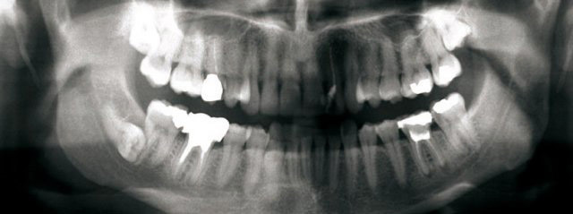
Guy Princ, La Revue du Praticien Panoramique dentaire. Les dents 15-22-46-36 ont fait l’objet de traitements endodontiques. Panoramique montrant les inclusions des dents de sagesse 18, 28 et 48. La dent de sagesse 48 est incluse horizontalement.