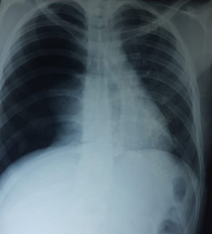
Radiographie thoracique de face avec une hyperclarté homogène, sans trame vasculaire, limitée en dedans par le moignon pulmonaire.
Lire aussi
Exercice
Article Web
Exercice
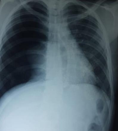
Radiographie thoracique de face avec une hyperclarté homogène, sans trame vasculaire, limitée en dedans par le moignon pulmonaire.