Skip to main navigation
Header navigation
Newsletters
Librairie
Plus
Menu du compte de l'utilisateur
S'abonner
Bookmark page
Sous menu plus
larevuedupracticien
larevuedupracticien
La rédaction
La rédaction
Indépendance
Indépendance
DPC
DPC
JNMG
JNMG
Annonces
Annonces
E-suppléments
E-suppléments
La Revue du Praticien
Navigation principale
Actualités
Vient de paraître
Tests
Culture
Recherche
Embolie pulmonaire
Lire plus tard
Partager
Imprimer
Ce contenu est exclusivement réservé aux abonnés
Fil d'Ariane
Image
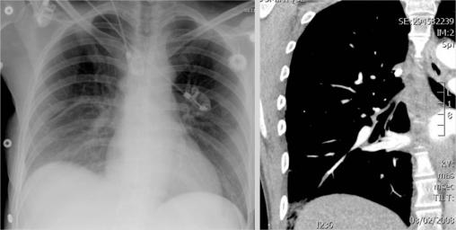
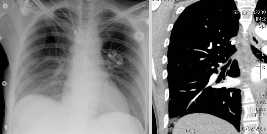
Embolie pulmonaire
Aspects radiologiques de l'embolie pulmonaire : ascension de coupole diaphragmatique.
Lire aussi
Exercice
Dossier progressif n° 273
Exercice
Dossier progressif n° 32
Article Web
Vaccins à ARNm : pas de surrisque cardiaque pour les moins de 75 ans
Article Web
Vaccin Covid : un surrisque cardiaque chez les plus de 75 ans ?
Article
Embolie pulmonaire secondaire à une infection à CMV
Exercice
Dossier progressif n°177