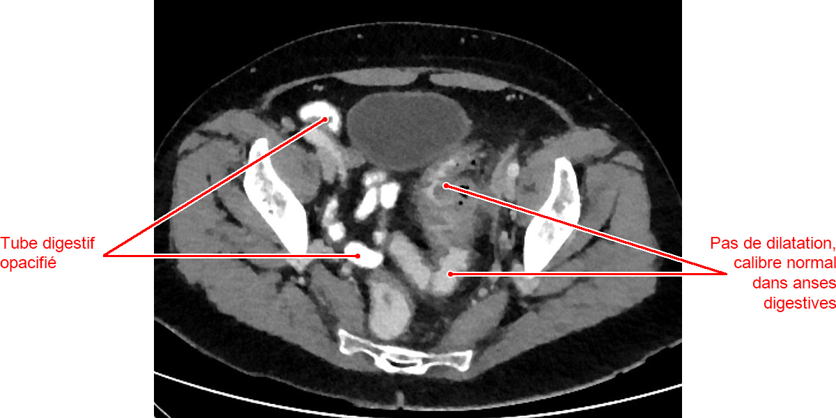
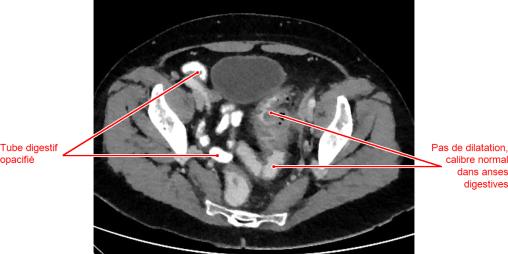
Hellerhoff, 7 novembre 2020. On note sur le scanner abdominopelvien la présence de plusieurs diverticules (petites bulles d’air au sein de la paroi colique) ; un épaississement de la paroi colique ; une infiltration de la graisse péridiverticulaire.