Fréquente, elle représente environ 10 % des urgences chirurgicales abdominales. La mortalité varie entre 3 et 6 % selon le contexte et les comorbidités. Les conséquences et les coûts sont donc importants.
Quelles causes ?
Deux types de brides, ou adhérences péritonéales, sont décrites : postopératoires ou spontanées. Elles sont dues à l’accolement cicatriciel de zones péritonéales digestives ou pariétales normalement libres.
En postopératoire, elles sont liées à la fibrinolyse incomplète du processus inflammatoire cicatriciel après chirurgie. Ces cicatrices résultent de l’ouverture de l’abdomen lors d’une intervention par laparotomie et, dans une moindre mesure en cœlioscopie, d’une effraction du péritoine et d’une manipulation du tube digestif.
Les occlusions sur bride spontanées ou sur abdomen vierge de toute chirurgie sont moins fréquentes (< 10 % des cas). Les patients ont parfois un antécédent d’infection intra-abdominale ou d’irradiation abdominale.
Celles dues à un défaut de fermeture des brèches mésocoliques ou mésentériques après résection digestive ne sont pas abordées ici.
En postopératoire, elles sont liées à la fibrinolyse incomplète du processus inflammatoire cicatriciel après chirurgie. Ces cicatrices résultent de l’ouverture de l’abdomen lors d’une intervention par laparotomie et, dans une moindre mesure en cœlioscopie, d’une effraction du péritoine et d’une manipulation du tube digestif.
Les occlusions sur bride spontanées ou sur abdomen vierge de toute chirurgie sont moins fréquentes (< 10 % des cas). Les patients ont parfois un antécédent d’infection intra-abdominale ou d’irradiation abdominale.
Celles dues à un défaut de fermeture des brèches mésocoliques ou mésentériques après résection digestive ne sont pas abordées ici.
Lire aussi | Dossier progressif n°140
Signes cliniques et radiologiques
Les occlusions touchent principalement l’intestin grêle, après des interventions sous-mésocoliques ou pelviennes (gynécologiques) qui sont toujours pourvoyeuses d’adhérences dans des proportions variables. Le délai d’apparition moyen après chirurgie est de 4 à 9 ans, mais peut aller jusqu’à 60 ans.
Bien que le nombre d’adhérences soit diminué de moitié après laparoscopie par rapport à la laparotomie, 2 études prospectives randomisées1 n’ont pas montré de différence dans la survenue des occlusions postopératoires à long terme entre ces 2 techniques. Une méta- analyse récente en chirurgie colorectale a montré une incidence réduite en cas de cœlioscopie après un suivi médian de 3 ans, ce qui est cependant inférieur au délai moyen de survenue.2 De plus, le taux de réintervention serait d’environ 0,8 % après appendicectomie et de 2,5 % à 6 % après chirurgie sous-mésocolique versus 15 à 18 % après laparotomie (mais études de faible niveau de preuve et suivi ne dépassant pas 5 ans).
Le diagnostic est d’abord clinique. Les signes précoces sont des vomissements lors d’une occlusion proximale et un arrêt des gaz et des matières si elle est distale. Le tableau est moins typique chez les sujets âgés, notamment par l’absence de signes de péritonite ou en cas de troubles des fonctions supérieures et de désorientation.
Principales complications aiguës :
– sur le plan médical : risque d’inhalation lors des vomissements, troubles hydro-électrolytiques avec en particulier un risque d’insuffisance rénale aiguë et une hypotension, voire un choc hypovolémique ;
– chirurgical : ischémie du segment occlus par un mécanisme mixte de torsion du méso et de congestion veineuse pariétale due à la distension, et perforation digestive avec péritonite et choc septique.
Des brides induisent parfois des douleurs abdominales chroniques (épisodes occlusifs incomplets), mais aussi une infertilité chez la femme en âge de procréer et des difficultés opératoires lors d’interventions ultérieures.
Le bilan biologique peut montrer une insuffisance rénale aiguë fonctionnelle accompagnée par des troubles hydro- électrolytiques, une hypochlorémie, un syndrome inflammatoire avec hyper- leucocytose, témoin de la souffrance intestinale.
Actuellement, la radiographie de l’ASP (abdomen sans préparation) n’a plus de place dans le diagnostic lésionnel pour définir le type d’occlusion.
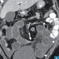
Le scanner abdomino-pelvien injecté, aisément accessible, est systématique lorsque la fonction rénale est suffisante. Il montre la dilatation du tube digestif en amont de la bride et permet dans certains cas un diagnostic topographique par la visualisation d’une jonction entre les segments dilatés et plats (fig. 1 ).
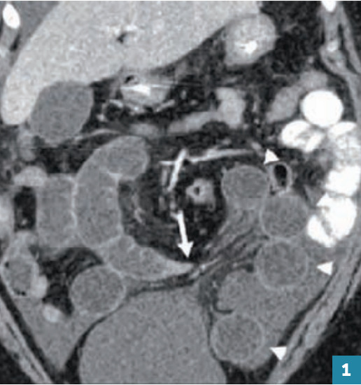
Les signes radiologiques de mauvais pronostic sont un défaut de rehaussement des parois digestives (vascularisation anormale), un épaississement pariétal (dû à la congestion) ou au contraire un amincissement de la paroi nécrosée et parfois une pneumatose pariétale (kystes gazeux dans la paroi intestinale), voire une aéroportie (fig. 2 ).
Bien que le nombre d’adhérences soit diminué de moitié après laparoscopie par rapport à la laparotomie, 2 études prospectives randomisées1 n’ont pas montré de différence dans la survenue des occlusions postopératoires à long terme entre ces 2 techniques. Une méta- analyse récente en chirurgie colorectale a montré une incidence réduite en cas de cœlioscopie après un suivi médian de 3 ans, ce qui est cependant inférieur au délai moyen de survenue.2 De plus, le taux de réintervention serait d’environ 0,8 % après appendicectomie et de 2,5 % à 6 % après chirurgie sous-mésocolique versus 15 à 18 % après laparotomie (mais études de faible niveau de preuve et suivi ne dépassant pas 5 ans).
Le diagnostic est d’abord clinique. Les signes précoces sont des vomissements lors d’une occlusion proximale et un arrêt des gaz et des matières si elle est distale. Le tableau est moins typique chez les sujets âgés, notamment par l’absence de signes de péritonite ou en cas de troubles des fonctions supérieures et de désorientation.
Principales complications aiguës :
– sur le plan médical : risque d’inhalation lors des vomissements, troubles hydro-électrolytiques avec en particulier un risque d’insuffisance rénale aiguë et une hypotension, voire un choc hypovolémique ;
– chirurgical : ischémie du segment occlus par un mécanisme mixte de torsion du méso et de congestion veineuse pariétale due à la distension, et perforation digestive avec péritonite et choc septique.
Des brides induisent parfois des douleurs abdominales chroniques (épisodes occlusifs incomplets), mais aussi une infertilité chez la femme en âge de procréer et des difficultés opératoires lors d’interventions ultérieures.
Le bilan biologique peut montrer une insuffisance rénale aiguë fonctionnelle accompagnée par des troubles hydro- électrolytiques, une hypochlorémie, un syndrome inflammatoire avec hyper- leucocytose, témoin de la souffrance intestinale.
Actuellement, la radiographie de l’ASP (abdomen sans préparation) n’a plus de place dans le diagnostic lésionnel pour définir le type d’occlusion.
Le scanner abdomino-pelvien injecté, aisément accessible, est systématique lorsque la fonction rénale est suffisante. Il montre la dilatation du tube digestif en amont de la bride et permet dans certains cas un diagnostic topographique par la visualisation d’une jonction entre les segments dilatés et plats (
Les signes radiologiques de mauvais pronostic sont un défaut de rehaussement des parois digestives (vascularisation anormale), un épaississement pariétal (dû à la congestion) ou au contraire un amincissement de la paroi nécrosée et parfois une pneumatose pariétale (kystes gazeux dans la paroi intestinale), voire une aéroportie (
Lire aussi | L’occlusion intestinale en 4 étapes
Traitement : conservateur ou chirurgical ?
En l’absence de critères de gravité et sous surveillance chirurgicale continue, un traitement médical est possible en première ligne : pose d’une sonde nasogastrique en aspiration douce pour prévenir une inhalation lors de vomis- sements, prise en charge de la douleur (paliers 1 et 2, le besoin de morphine étant un signe de gravité) et des troubles hydro-électrolytiques par un remplissage vasculaire adapté.
Le test au produit de contraste hydro- soluble consiste à administrer de la Gastrografine (amidotrizoate de sodium ; radio-opaque) par la sonde nasogastrique et à réaliser un ASP quelques heures plus tard afin de voir si l’obstacle a été levé. Si c’est le cas, on observe une opacification dans le côlon en aval de l’occlusion. Son « non-passage » signe une obstruction complète et oriente vers la chirurgie. Au-delà de son utilité diagnostique, ce produit favoriserait la reprise du transit via un effet osmotique dans la lumière digestive. Cependant, une étude randomisée prospective n’a pas montré de différence entre solution salée hyper- tonique et produit hydrosoluble en termes de levée d’obstacle.3
L’âge avancé du patient, plus de 2 laparotomies et un antécédent de chirurgie pour occlusion sur bride sont des facteurs de risque d’échec. Toutefois, en l’absence de scores ou de modèles de prédiction du succès du traitement médical, l’indication opératoire est souvent laissée à l’appréciation clinique du chirurgien.
Le traitement chirurgical repose sur la section des brides ou viscérolyse complète. La vérification de la vitalité des segments digestifs est indispensable, en s’assurant de la recoloration des anses ischémiées (avec du sérum chaud favorisant la vasodilatation). Si ce n’est pas le cas ou si la nécrose est constituée, une résection digestive s’impose. La vidange rétrograde ne doit pas être systématique (risque de rupture dû à la fragilité des anses dilatées). Le choix d’une laparotomie – plutôt qu’une cœlioscopie – est fréquent pour éviter une plaie viscérale à l’introduction des trocarts et lors de la manipulation du tube digestif distendu et fragilisé. En effet, d’après une étude récente chez plus de 8 500 malades, le risque de plaie digestive et de résection serait augmenté lors d’une cœlioscopie.4 Les mortalité et morbidité postopératoires sont élevées (6 % et 40 % respectivement). Ces chiffres s’expliquent par le profil de la population concernée : âge > 75 ans, score ASA ≥ 3, nombre important de comorbidités, haut niveau de dépendance.
Le test au produit de contraste hydro- soluble consiste à administrer de la Gastrografine (amidotrizoate de sodium ; radio-opaque) par la sonde nasogastrique et à réaliser un ASP quelques heures plus tard afin de voir si l’obstacle a été levé. Si c’est le cas, on observe une opacification dans le côlon en aval de l’occlusion. Son « non-passage » signe une obstruction complète et oriente vers la chirurgie. Au-delà de son utilité diagnostique, ce produit favoriserait la reprise du transit via un effet osmotique dans la lumière digestive. Cependant, une étude randomisée prospective n’a pas montré de différence entre solution salée hyper- tonique et produit hydrosoluble en termes de levée d’obstacle.3
L’âge avancé du patient, plus de 2 laparotomies et un antécédent de chirurgie pour occlusion sur bride sont des facteurs de risque d’échec. Toutefois, en l’absence de scores ou de modèles de prédiction du succès du traitement médical, l’indication opératoire est souvent laissée à l’appréciation clinique du chirurgien.
Le traitement chirurgical repose sur la section des brides ou viscérolyse complète. La vérification de la vitalité des segments digestifs est indispensable, en s’assurant de la recoloration des anses ischémiées (avec du sérum chaud favorisant la vasodilatation). Si ce n’est pas le cas ou si la nécrose est constituée, une résection digestive s’impose. La vidange rétrograde ne doit pas être systématique (risque de rupture dû à la fragilité des anses dilatées). Le choix d’une laparotomie – plutôt qu’une cœlioscopie – est fréquent pour éviter une plaie viscérale à l’introduction des trocarts et lors de la manipulation du tube digestif distendu et fragilisé. En effet, d’après une étude récente chez plus de 8 500 malades, le risque de plaie digestive et de résection serait augmenté lors d’une cœlioscopie.4 Les mortalité et morbidité postopératoires sont élevées (6 % et 40 % respectivement). Ces chiffres s’expliquent par le profil de la population concernée : âge > 75 ans, score ASA ≥ 3, nombre important de comorbidités, haut niveau de dépendance.
Prévention : possible ?
Indispensable, elle passe par des techniques chirurgicales moins traumatiques (choix de la voie d’abord). Cependant, d’après une méta-analyse de 2013 – ayant comme critères principaux l’incidence des occlusions sur bride, le taux de fertilité et celui d’adhérences lors d’une intervention de second look – aucun moyen technique (cœlioscopie vs laparotomie, fermeture du péritoine, existence de corps étrangers comme sutures ou mèches, coagulation électrique, lavage péritonéal) n’aurait d’efficacité.5 L’usage de produits fibrinolytiques (aux propriétés anti-adhérentielles) pourrait réduire le nombre de brides sans pour autant modifier la fréquence des occlusions dues à celles résiduelles, même si moins nombreuses.
Après un épisode d’occlusion sur brides levé sous traitement médical, une viscérolyse chirurgicale n’a pas d’indication en raison du risque de formation de nouvelles brides et de plaies peropératoires.
Après un épisode d’occlusion sur brides levé sous traitement médical, une viscérolyse chirurgicale n’a pas d’indication en raison du risque de formation de nouvelles brides et de plaies peropératoires.
Références
1. Schölin J, Buunen M, Hop W, et al. Bowel obstruction after laparoscopic and open colon resection for cancer: results of 5 years of follow-up in a randomized trial. Surg Endosc 2011;25:3755-60.
2. Ha GW, Lee MR, Kim JH. Adhesive small bowel obstruction after laparoscopic and open colorectal surgery: a systematic review and meta-analysis. Am J Surg 2016;212:527‑36.
3. Scotté M, Mauvais F, Bubenheim M, et al. Use of water-soluble contrast medium (gastrografin) does not decrease the need for operative intervention nor the duration of hospital stay in uncomplicated acute adhesive small bowel obstruction? A multicenter, randomized, clinical trial (Adhesive Small Bowel Obstruction Study) and systematic review. Surgery 2017;161:1315-25.
4. Behman R, Nathens AB, Byrne JP, et al. Laparo- scopic Surgery for Adhesive Small Bowel Obstruction Is Associated With a Higher Risk of Bowel Injury: A Population-based Analysis of 8584 Patients. Ann Surg 2017;266:489-98.
5. Ten Broek RP, Kok-Krant N, Bakkum EA, Bleich- rodt RP, van Goor H. Different surgical techniques to reduce post-operative adhesion formation: a systematic review and meta-analysis. Hum Reprod Update 2013;19:12-25.
2. Ha GW, Lee MR, Kim JH. Adhesive small bowel obstruction after laparoscopic and open colorectal surgery: a systematic review and meta-analysis. Am J Surg 2016;212:527‑36.
3. Scotté M, Mauvais F, Bubenheim M, et al. Use of water-soluble contrast medium (gastrografin) does not decrease the need for operative intervention nor the duration of hospital stay in uncomplicated acute adhesive small bowel obstruction? A multicenter, randomized, clinical trial (Adhesive Small Bowel Obstruction Study) and systematic review. Surgery 2017;161:1315-25.
4. Behman R, Nathens AB, Byrne JP, et al. Laparo- scopic Surgery for Adhesive Small Bowel Obstruction Is Associated With a Higher Risk of Bowel Injury: A Population-based Analysis of 8584 Patients. Ann Surg 2017;266:489-98.
5. Ten Broek RP, Kok-Krant N, Bakkum EA, Bleich- rodt RP, van Goor H. Different surgical techniques to reduce post-operative adhesion formation: a systematic review and meta-analysis. Hum Reprod Update 2013;19:12-25.