objectifs
Diagnostiquer un syndrome occlusif.
Identifier les situations d'urgence et planifier leur prise en charge.
L’occlusion intestinale est la cause d’un syndrome douloureux abdominal aigu dans 4 à 7 % des cas. Cette incidence varie avec l’âge. Chez le patient de plus de 60 ans, ce taux peut atteindre jusqu’à 30 % des syndromes douloureux abdominaux aigus. Dans 75 % des occlusions, le siège est au niveau du grêle par un étranglement herniaire (43 % des cas) et par des brides ou adhérences (38 % des cas). L’origine colique (22 % des occlusions intestinales aiguës) est souvent tumorale (43 % des cas). Le taux de mortalité estimé à 12 % toutes causes confondues est fonction du siège : 5 % pour les occlusions du grêle et 12 % pour les occlusions coliques.

Diagnostic

La démarche diagnostique a plusieurs objectifs face à un syndrome occlusif :
  • affirmer le diagnostic de syndrome occlusif et éliminer les diag­nostics différentiels ;
  • déterminer le siège, le mécanisme et la cause de l’occlusion ;
  • évaluer la présence de signes de gravité.
Ces éléments permettent de guider la prise en charge.

Clinique

Le syndrome occlusif associe une douleur abdominale, des vomissements, un arrêt du transit et une distension abdominale. La qualité de chacun de ces signes et symptômes varie en fonction du siège et de l’étiologie de l’occlusion.

Signes fonctionnels

La douleur abdominale est intense dans plus de la moitié des cas. Les caractéristiques sémiologiques de la douleur dans l’occlusion sont très variables, tant le type de douleur que son siège. Elle est le plus souvent apparue rapidement sans facteur déclenchant et est continue et peu sensible aux facteurs d’exacerbations (toux, marche, inspiration profonde). Sa topographie ne permet pas de distinguer une origine grêlique ou colique.
Les nausées et/ou les vomissements sont habituels. Les vomissements sont d’autant plus tardifs que l’occlusion est de siège plus distal. Ils sont très fréquents dans les occlusions du grêle et ne sont observés qu’une fois sur deux dans les occlusions du côlon. Ils soulagent la douleur chez un malade sur trois dans les occlusions du grêle et rarement dans les occlusions du côlon.
Arrêt des matières et des gaz : signalé deux fois sur trois, l’arrêt des gaz est le signe le plus constant. L’absence totale de trouble du transit ou une diarrhée trompeuse sont rares. L’arrêt du transit est d’autant plus net que l'occlusion siège plus bas.

Signes physiques

L'inspection cherche un météorisme abdominal, présent 3 fois sur 4, plus fréquent dans les occlusions du côlon, et une cicatrice de chirurgie abdominale ou gynécologique.
La palpation débute par l’examen des orifices inguinaux et cruraux à la recherche d’une hernie douloureuse et irréductible. L’examen de l’abdomen est normal dans la moitié des cas. Une défense ou une douleur à la décompression sont notées 1 fois sur 4. Il n’y a pas de contracture. Le siège de la douleur provoquée oriente l’enquête étiologique, surtout s’il existe à ce niveau une masse palpable (rare).
La percussion confirme le caractère tympanique de la distension abdominale. En cas de météorisme localisé hypogastrique, la percussion fait la distinction avec une tumeur abdomino- pelvienne ou un globe vésical.
L'auscultation de l’abdomen avec appréciation de l’intensité ou de la tonalité des bruits hydro-aériques est sujette à caution. Ces bruits sont plus souvent diminués ou absents mais peuvent également être augmentés.
Les touchers pelviens doivent être de réalisation systématique, à la recherche d’une masse ou d’un fécalome par exemple.

Signes généraux

Ils sont fonction du délai écoulé depuis le début des troubles, de l’étiologie et/ou du contexte pathologique dans lequel survient l’épisode occlusif. Ils sont appréciés sur le faciès, le pouls, la tension artérielle, l’état de conscience, la température et la diurèse.
Lorsque le début est brutal et la consultation précoce, la pâleur, l’agitation ou l’accélération du pouls sont essentiellement le reflet de l’intensité de la douleur.
À un stade plus tardif, ils peuvent témoigner de la souffrance d’une anse intestinale volvulée ou d’un état de déshydratation avancé que confirment la soif, le pli cutané, la sécheresse de la muqueuse buccale, l’oligurie ou les urines sombres concentrées au sondage vésical, un état de confusion ou de torpeur, notamment chez le vieillard. L’élévation de la température doit être interprétée en fonction de ce contexte ; une occlusion fébrile à l’admission justifie une enquête étiologique particulière. La sensibilité de la clinique et de la biologie pour détecter une souffrance digestive n’est que de 40 à 50 %.

Examen général et recherche des antécédents

La recherche d’antécédents de chirurgie abdominale ou pelvienne, d’antécédents de pathologie néoplasique traitée chirurgicalement ou par radiothérapie, d’une maladie inflammatoire intestinale chronique, d’un terrain vasculaire oriente l’enquête diagnostique. L’interrogatoire recherche la notion d’une constipation récente, de la majoration d’une constipation chronique ou d’une fausse diarrhée de subocclusion, de la présence de sang dans les selles, volontiers attribuée à une pathologie hémorroïdaire, d’une diverticulose sigmoïdienne connue. La nature et la posologie des traitements sont précisées : diurétiques, anticoagulants, anti­parkinsoniens ou neuroleptiques notamment.

Radiologie


Examen scanographique

La tomodensitométrie avec acquisition en mode hélicoïdal avec injection de produit de contraste iodé est l’examen de référence. En l’absence des contre-indications, l’injection intraveineuse d’iode est indispensable car elle permet d’apprécier le rehaussement des parois digestives.
La tomodensitométrie permet :
  • 1) de faire le diagnostic positif de l’occlusion (présence d’anses grêles dilatées de diamètre supérieur ou égal à 25 mm et/ou d’un côlon de diamètre supérieur ou égal à 60 mm) ;
  • 2) de déterminer le caractère mécanique ou fonctionnel de l’occlusion (occlusion intestinale mécanique : anses intestinales plates et dilatées avec un niveau jonctionnel [l’association de tube plat et de tube digestif dilaté]) ;
  • 3) de préciser la topographie (grêle ou côlon) et l’étiologie (causes luminales, pariétales ou extrapariétales) ;
  • 4) de déterminer la gravité (perforation, pneumatose pariétale, anomalies de rehaussement des anses, mécanisme strangulatoire). La combinaison de 3 marqueurs au scanner avec injection de produit de contraste (PDC) iodé (défaut de rehaussement de la paroi intestinale, un closed-loop et une infiltration mésentérique diffuse) permet l’indentification d’une souffrance dans une occlusion du grêle sur bride. À l’inverse, si aucun de ces critères n’est présent, la souffrance digestive peut être écartée dans plus de 95 % des cas, et un traitement médical peut être envisagé.

Conséquences métaboliques

Les désordres métaboliques associent une déshydratation et des pertes électrolytiques ; leur intensité est fonction du délai écoulé avant l’admission. La déshydratation est liée aux pertes de liquide (vomissements et liquide d’aspiration gastrique) et à la constitution d’un troisième secteur intestinal qui est la séquestration et l’accumulation d’un volume d’eau, d’électrolytes et de protéines (liquide digestif) ne participant plus aux échanges hydriques et ioniques. Les pertes électrolytiques sont fonction du siège de l’occlusion.

Déshydratation

Clinique :
  • dans le compartiment vasculaire, la diminution de la pression artérielle et l’accélération du pouls, le défaut de remplissage veineux, la tendance lipothymique aux changements de position, l’oligurie ;
  • dans le compartiment interstitiel, le pli cutané, les cernes péri- oculaires et l’hypotonie des globes oculaires ;
  • dans le compartiment intracellulaire, la soif, la sécheresse des muqueuses bucco-gingivales, et parfois la fièvre en l’absence d’infection apparente.
Le mécanisme des troubles neuropsychiques n’est pas univoque : diminution du transport d’oxygène, bas débit périphérique, déshydratation intracellulaire.
Biologique : la déshydratation se traduit par une augmentation de l’hématocrite et de la protidémie et l’insuffisance rénale fonction­nelle : l’hypovolémie vraie est responsable d’une chute du flux plasmatique rénal et de la filtration glomérulaire.

Désordres acidobasiques et pertes électrolytiques

L’équilibre acidobasique et les troubles ioniques varient en fonction du siège et de l’étiologie de l’occlusion. La sémiologie clinique des perturbations de l’équilibre acidobasique est respiratoire (hyperventilation dans l’acidose métabolique, hypoventilation dans l’alcalose métabolique).
Dans les occlusions hautes, les vomissements sont abondants et précoces. Les conséquences des vomissements varient selon qu’il s’agit de liquide gastrique isolé ou de liquide gastrique mélangé à des sécrétions biliopancréatiques. Les conséquences d’une perte prédominante de liquide gastrique sont l’alcalose métabolique, l’hypochlorémie et l’hypokaliémie. Les conséquences d’une perte prédominante de liquide jéjunal sont l’acidose métabolique (fuite intestinale d’ions basiques) et l’hypokaliémie.
Dans les occlusions distales, les vomissements, le liquide recueilli par aspiration digestive et le liquide de stase intestinale contiennent davantage de sécrétions biliaire, pancréatique et intestinale que gastrique. Le déficit secondaire est global en chlore, sodium, potassium, bicarbonates et équilibré vis-à-vis du pH. La déshydratation est le reflet indirect de l’importance du troisième secteur intestinal. Dans les occlusions basses, iléales ou coliques, l’acidose doit faire craindre des lésions ischémiques tissulaires et/ou une complication septique.

Diagnostic du siège


Clinique

On note :
  • en faveur de l’occlusion du grêle, et d’autant plus qu’il s’agit d’une occlusion par strangulation, l’intensité des douleurs et leur début brutal, des vomissements fréquents, répétés, alimentaires puis bilieux, soulageant parfois la douleur, et la présence d’une cicatrice abdominale ;
  • en faveur de l’occlusion colique, et d’autant plus qu’il s’agit d’une occlusion par obstruction, l’arrêt net des matières et des gaz et l’importance du météorisme, le plus souvent diffus.
Le siège de la douleur est peu contributif.

Radiologie

Le scanner avec injection de produit de contraste en l’absence de contre-indications, examen de première intention, permet de faire le diagnostic et de préciser le siège et l’étiologie de l’occlusion.
Pour les occlusions mécaniques du grêle, le signe dit « des matières » ou small bowelfeces sign peut aider à repérer le niveau de l’occlusion. C’est la présence de matières fécales au niveau d’une anse grêle dilatée juste en amont de la zone d’obstruction qui traduit la présence d’une occlusion d’apparition rapidement progressive responsable d’une augmentation de l’absorption hydrique intestinale avec formation de matières fécales au sein de l’intestin grêle. Ce signe est très spécifique d’occlusion méca­nique du grêle mais a une faible prévalence.

Diagnostic du mécanisme


Occlusions fonctionnelles

Elles relèvent d’une altération de la motricité intestinale d’origine locale ou générale, de cause réflexe ou inflammatoire, qui aboutit à la paralysie. Sur le plan clinique, l’occlusion fonctionnelle, ou iléus réflexe, est d’expression variable.
Le diagnostic d’iléus réflexe est radiologique, se caractérisant par une forte prédominance des images gazeuses par rapport aux images hydro-aériques, par le caractère modéré de la dilatation intestinale, et surtout par le caractère global de l’occlusion qui intéresse, sans niveau de changement de calibre, le grêle en totalité et le côlon.

Occlusion par obstruction ou par strangulation ?

Selon leur mécanisme, on distingue les occlusions mécaniques par obstruction et les occlusions mécaniques par strangulation.
Les occlusions par strangulation ont en commun le caractère complet de l’occlusion, son irréversibilité en l’absence de traitement chirurgical et l’ischémie intestinale pouvant aller jusqu'à la nécrose et la perforation.
Les occlusions mécaniques par obstruction ne sont ni nécessairement complètes ni nécessairement irréversibles.
La discussion du mécanisme d’une occlusion du grêle est donc conduite avec le souci :
  • de reconnaître précocement l’ischémie intestinale pour éviter de prolonger, au-delà des délais nécessaires à la réanimation préopératoire, une expectative dangereuse en cas de strangulation ;
  • d’éviter chez un certain nombre de malades ayant une occlusion par obstruction réversible les risques d’une attitude dogmatique imposant l’intervention en urgence devant toute occlusion du grêle ; comme toute laparotomie portant sur l’étage sous-mésocolique, le traitement chirurgical d’une occlusion du grêle expose… au risque d’occlusion.
Critères cliniques : les signes et symptômes de souffrance (l’ischémie intestinale) sont la modification des douleurs abdominales, qui de coliques paroxystiques deviennent intenses et continues, et quatre signes dits « classiques » :
  • la température à l’admission (> 38 ºC ou < 36,5 ºC) ;
  • les signes péritonéaux (défense localisée ou contracture) ;
  • la tachycardie (> 100 batt/min) ;
  • l’augmentation de la leucocytose (> 10 000/mm3).
Aucun des signes « classiques » de souffrance intestinale pris isolément n’a de valeur prédictive en faveur de l’occlusion par strangulation.
Examens complémentaires :
  • examens biologiques : la valeur diagnostique de la leucocytose a été discutée précédemment. La présence d’une acidose lactique doit faire évoquer la possibilité d’une nécrose intestinale ; radiologie : la strangulation, complication essentielle de l’occlusion intestinale mécanique, se traduit en tomodensitométrie par :
. un épaississement de la paroi digestive supérieur à 3 mm au niveau d’une anse dilatée avec signe de la cible ou du halo ;
. l’amincissement pariétal à moins de 1 mm lui donnant un aspect virtuel ;
. le défaut de rehaussement pariétal de la zone pathologique ;
. une hyperdensité spontanée de la paroi intestinale sur le passage sans injection ;
. la congestion du mésentère, affirmée par la dilatation des petits vaisseaux mésentériques avec un trajet sinueux qui sont mieux visibles au sein de la graisse mésentérique dont la transparence est diminuée ;
. un épanchement mésentérique localisé ;
. une pneumatose pariétale ;
. une thrombose mésentérique ou une aéroportie.
La perforation digestive est à rechercher systématiquement sous forme de bulles d’air extradigestives, notamment dans les causes traumatiques et les occlusions sur corps étrangers.

Invaginations intestinales aiguës

L’invagination, sous l’effet du péristaltisme, d’un segment intestinal dans celui situé en aval est un mécanisme particulier associant à la fois une obstruction et des risques d’ischémie et de nécrose. Chez l’adulte, les invaginations intestinales aiguës sont rares, elles sont provoquées par une anomalie de la paroi intestinale comme une tumeur, un polype ou un diverticule de Meckel.

Diagnostic étiologique


Occlusions du grêle (tableau 1)

Occlusions sur brides ou adhérences péritonéales : les brides ou adhérences péritonéales sont, dans les pays occidentaux, la cause la plus fréquente d’occlusion du grêle.
La bride, cause la plus fréquente d’occlusion, est de diagnostic clinique difficile. Elle n’est jamais directement visible en tomodensitométrie, elle est le plus souvent présente sous la forme d’une zone de transition abrupte sans image lésionnelle visible au site de l’obstruction.
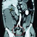
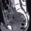
Les signes tomodensitométriques décelés sur le site de torsion sont classiquement (fig. 1 et 2) :
  • anses dilatées, en forme de « U » ou de « C », à distribution radiaire ;
  • présence de deux anses adjacentes collabées de forme ronde, ovale, triangulaire au niveau du site d’obstruction ;
  • whirl sign, ou signe du tourbillon, qui correspond à l'enroulement des vaisseaux mésentériques et des mésos qui convergent vers le point de torsion mésentérique (fig. 1) ;
  • le signe du bec, qui correspond à la visualisation, en coupe longitudinale, d’un aspect en pointe effilée reflétant à la diminution progressive du calibre intestinal jusqu'au niveau de l’obstruction (fig. 2).
Le signe des matières est fortement évocateur d’occlusion mécanique du grêle par bride, hernie ou tumeur.
Hernies étranglées :
  • hernies externes inguinales, crurales ou ombilicales : les occlusions par étranglement herniaire sont fréquentes et habituellement de diagnostic clinique. La tomodensitométrie est utile chez les patients obèses, pour l’analyse de leur contenu (grêle, côlon, épiploon, etc.) et la recherche de complication à type de strangulation. Elles sont classiquement traitées séparément des occlusions intestinales aiguës ;
  • hernies internes congénitales ou acquises : cette cause d’occlusion du grêle est comprise entre 0,6 et 5,8 %.
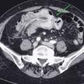
Tumeurs du grêle (fig. 3) : ces sont les tumeurs malignes primitives ou secondaires (15 % des occlusions du grêle).
Diverticules du grêle (hernies muqueuses à travers la paroi intestinale) : de siège électivement au niveau du jéjunum, elles sont le plus souvent asymptomatiques.
Autres causes : l’entérite radique, les corps étrangers, l’hématome intramural, les obstructions sur phytobézoards, ou parasitaires sont d’autres causes plus rares d’occlusion du grêle.

Occlusions du côlon (tableau 1)

Cancers
Diagnostic : les adénocarcinomes sont la cause la plus fréquente. En France, 70 % des occlusions coliques sont dues au cancer ; 16 % des cancers colorectaux sont diagnostiqués au stade d’occlusion ; ce taux augmente avec l’âge, pour atteindre 25 % après 80 ans.
Siège : deux occlusions néoplasiques sur trois siègent sur le côlon gauche anatomique.
Début des signes cliniques : en moyenne à 7 jours, il date de moins de 1 mois chez 30 % des malades.
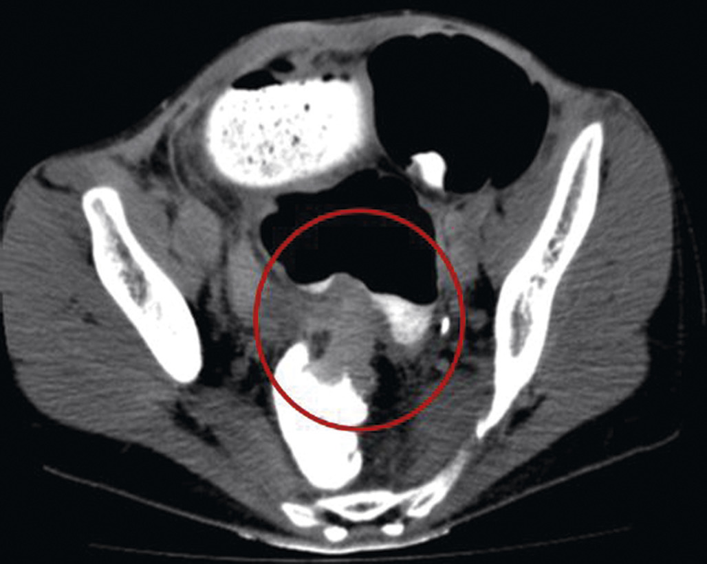
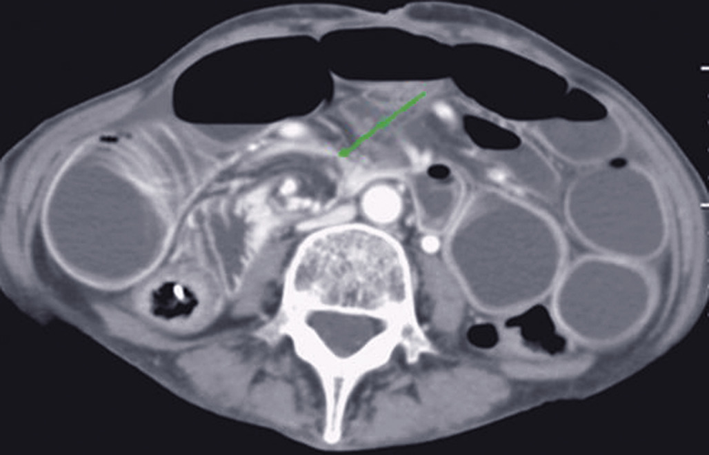
Tomodensitométrie abdomino-pelvienne (fig. 4, 5) :
  • 1) Elle fait le diagnostic positif de l’occlusion (présence d’anses grêles dilatées de diamètre supérieur ou égal à 25 mm si la valvule de Bauhin est incontinente et d’une partie du côlon de diamètre supérieur ou égal à 60 mm en amont de la tumeur).
  • 2) Elle détermine la topographie (colique).
  • 3) Elle détermine l’étiologie : l’adénocarcinome se traduit par un épaississement dédifférencié et sténosant de la paroi digestive en virole avec parfois infiltration de la graisse adjacente et adénomégalies péritumorales.
  • 4) Elle identifie des signes de gravité (perforation, pneumatose pariétale, anomalies de rehaussement des anses spécialement sur le cæcum) (fig. 5).
  • 5) Elle fait un bilan d’extension (fig. 5).
Rectosigmoïdoscopie ou la coloscopie ne sont indiquées que devant l’incertitude diagnostique et à condition qu’il n’y ait pas d’urgence à intervenir. Leur indication doit se limiter aux seuls cas où elle peut modifier la conduite thérapeutique.
Sigmoïdite et diverticulite sigmoïdienne
Représentant 7 % des occlusions coliques, elles sont de deux types.
Sigmoïdite pseudo-tumorale : le scanner abdominal retrouve un épaississement pariétal du côlon diverticulaire et une infiltration du mésosigmoïde. Le diagnostic différentiel avec un cancer peut se poser en pré- ou en peropératoire. Les cas douteux imposent, à chaque fois qu’elle est possible, la coloscopie préopératoire.
Occlusion inflammatoire : c’est la véritable complication aiguë. Une rétention aiguë de gaz et de matières est habituelle, accompagnée d’un syndrome septique plus ou moins marqué, avec fièvre, leucocytose avec polynucléose et défense abdominale iliaque gauche ou hypogastrique sus-pubienne.
Volvulus du côlon
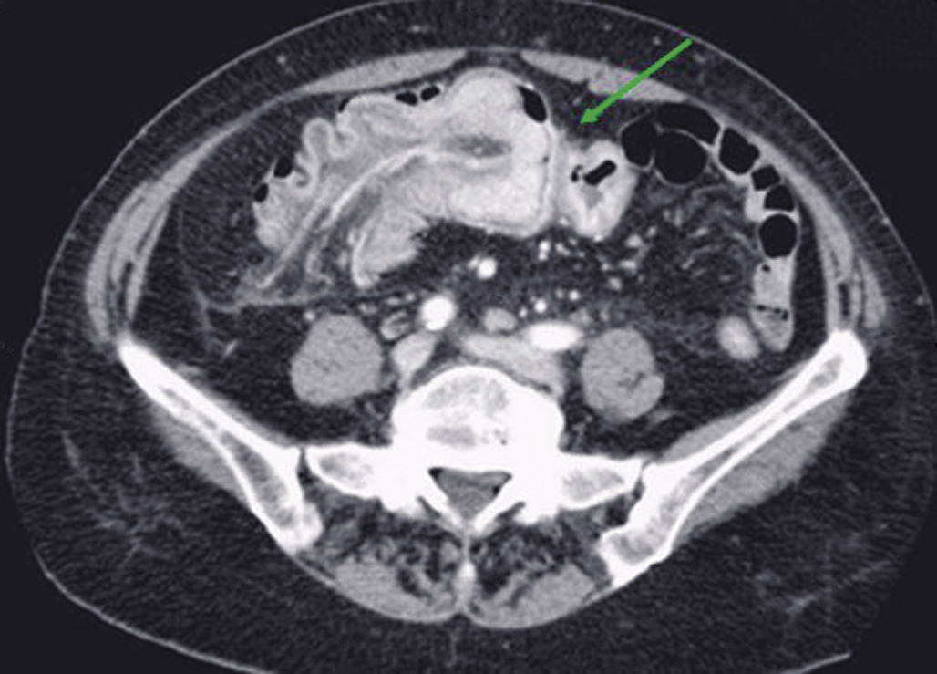
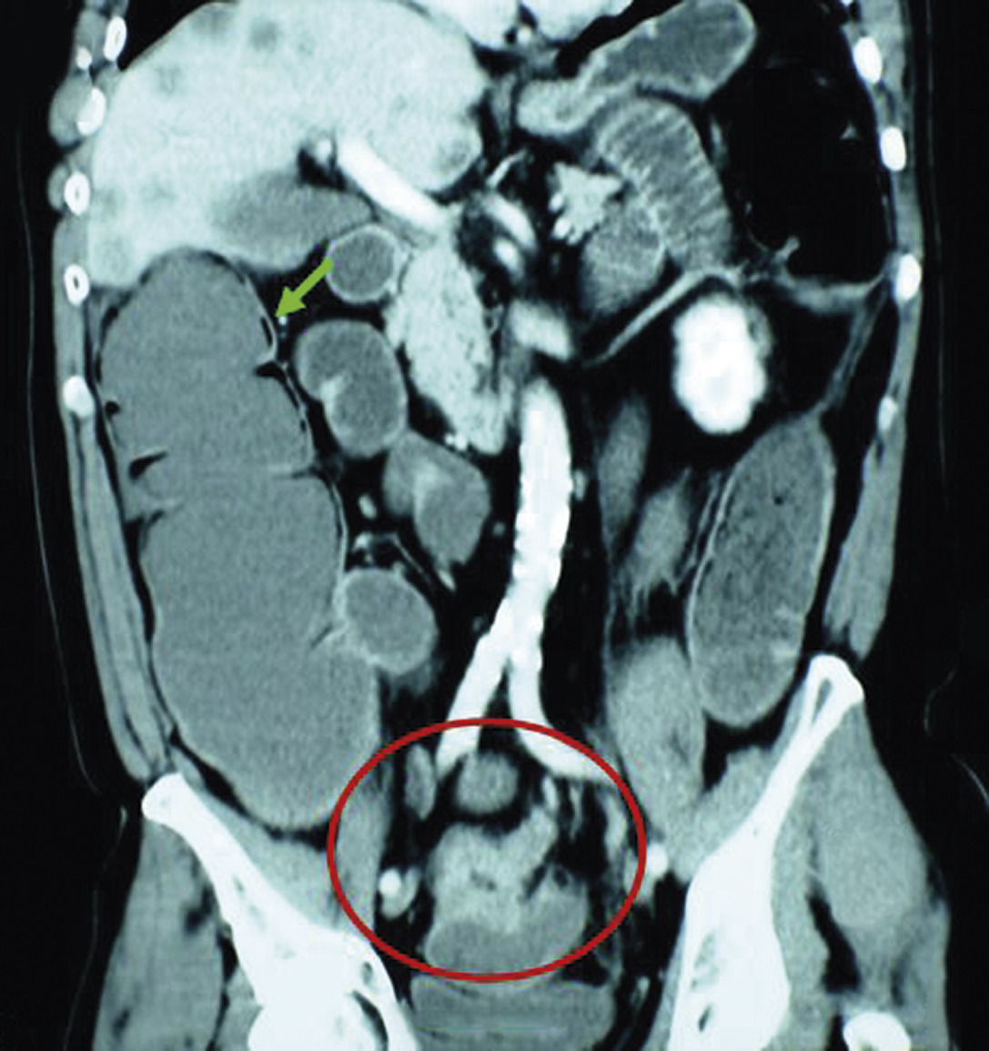
Ils sont une cause rare d’occlusion intestinale. Tous les segments mobiles du côlon peuvent se volvuler, au premier rang desquels l’anse sigmoïdienne (fig. 6), viennent ensuite les volvulus du côlon droit (fig. 7 et 8) et rarement du côlon transverse.
Autres occlusions
Pseudo-obstructions intestinales et syndrome d’Ogilvie : la pseudo- obstruction intestinale aiguë ou chronique est un syndrome individualisé sur des critères cliniques : épisodes de subocclusion sans obstacle lésionnel, séparés par des périodes de diarrhée avec altération de l’état général. C’est une dilatation colique qui survient sans obstruction mécanique sur un côlon antérieurement sain.
Fécalome : étiologie fréquente d’occlusion, aux conséquences potentiellement graves et de diagnostic clinique aisé (toucher rectal).
Occlusions fonctionnelles ou iléus réflexe (tableau 2)
Un iléus réflexe peut être observé dans de nombreuses affections, tout phénomène pathologique intra-abdominale est susceptible d’entraîner un iléus réflexe. Deux circonstances pathologiques méritent d'être individualisées car le diagnostic erroné de syndrome occlusif avec la sanction opératoire qui peut en découler serait lourd de conséquences :
  • la crise de colique néphrétique s'accompagne fréquemment d’un iléus réflexe radiologique franc ;
  • la distension gazeuse réflexe intestinale est particulièrement fréquente dans la pancréatite aiguë.

Traitement des occlusions intestinales

La réanimation est la première étape thérapeutique, suivie ou non d’une sanction chirurgicale. L’imagerie médicale telle que la tomodensitométrie précisant le mécanisme, le siège et l’étiologie guide la décision et l’acte opératoires.

Réanimation

La réanimation a pour but de corriger les perturbations de l’équilibre volémique, hydroélectrolytique et acidobasique. Elle se poursuit en per- et postopératoire jusqu’à la reprise normale du transit intestinal. La gravité des conséquences générales de l'occlusion conditionne l'importance et la durée de la réanimation préopératoire.

Aspiration gastroduodénale continue

L'installation d’une sonde nasogastrique permet, dans l’immédiat, d’assurer une vacuité gastrique et de supprimer les vomissements. Elle diminue le risque ultérieur d’inhalation au moment de l’induction anesthésique.

Compensation hydroélectrolytique

Les volumes perfusés, en quantité et en qualité, sont adaptés au triple déficit volémique, acidobasique et hydroélectrolytique. Les débits sont fonction de l’importance estimée du troisième secteur exprimé en pourcentage du poids corporel. Le remplissage vasculaire doit être démarré avant l’induction anesthésique. Au cours de cette réanimation, la surveillance rapprochée est indispensable.
Une antibioprophylaxie (germes à Gram négatif et anaérobies) est systématiquement associée à ce premier traitement médical. La chirurgie du tube digestif pour occlusion intestinale correspond le plus souvent soit à une chirurgie propre (classe I d’Altemeier, exemple : section simple de bride), soit à une chirurgie propre contaminée (classe II, exemple : résection d’une anse volvulée ischémiée mais non perforée). Une chirurgie contaminée classe III comme dans le cas d’occlusion avec perforation digestive relève de l’antibiothérapie. L’administration d’antalgiques ou d’antispasmodiques est nécessaire.
Toutes ces mesures ne constituent pas un traitement en soi, mais plutôt des mesures d’accompagnement de l’occlusion qui doivent être maintenues tant que l’occlusion persiste, que la levée de l’occlusion nécessite un recours chirurgical ou qu’elle s’effectue spontanément.

Traitement interventionnel des occlusions


Cas des occlusions du grêle

Résection ou conservation : l’induction anesthésique est réalisée en tenant compte du risque d’inhalation bronchique.
La voie d’abord peut être laparotomique ou laparoscopique, en fonction de divers critères comme l’expérience de l’opérateur et l’importance de la dilatation grêlique. On trouve pratiquement toujours un épanchement péritonéal de faible abondance dont on adresse un prélèvement au laboratoire de bactériologie.
Reconnaissance de la lésion : le siège et la cause de l’occlusion sont repérés en étudiant la jonction entre le grêle dilaté en amont de l’obstacle et le grêle plat en aval.
Appréciation de la vitalité de l’intestin : dans une occlusion par strangulation, l’appréciation peropératoire de la vitalité intestinale prend place après la levée de l’obstacle. L’appréciation peropératoire de la vitalité intestinale est subjective et imprécise. Dans les cas intermédiaires, le tamponnement par du sérum chaud et l'infiltration du méso par des drogues vasodilatatrices conservent leurs indications.

Traitement des cancers du côlon en occlusion

L’indication chirurgicale doit être prise en urgence en cas de syndrome septique sévère, de signes péritonéaux ou de diamètre cæcal supérieur à 12 cm. Dans les autres cas, l’indication est portée après 24 à 72 heures de traitement médical, en cas de persistance de l’occlusion. Les indications tiennent compte en particulier de la topographie de la lésion sténosante qui est déterminée par le scanner.
Cancers du côlon droit et transverse : le traitement est, dans la grande majorité des cas, l’hémicolectomie droite avec anastomose iléo-transverse en un temps.
Cancers du côlon gauche : les méthodes chirurgicales sont influencées par l'état du côlon en amont de l’obstacle : non préparé et non préparable, distendu, ischémique, siège d’une pullulation microbienne, et donc inapte à l’anastomose immédiate. On distingue les techniques en fonction du nombre de temps opératoires qu’elles comportent.
Techniques opératoires : le choix de la technique, en un ou plusieurs temps, repose essentiellement sur l’état général du patient en préopératoire immédiat et sur sa capacité à supporter une intervention longue, mais aussi sur l’état du côlon d’amont, sur l’intégrité du tonus sphinctérien et sur l’expérience de l’opérateur.
Techniques en plusieurs temps : le premier temps est celui de la colostomie d’amont, pratiquée par une voie d’abord élective. Elle guérit l’occlusion, permet de préparer le malade et le côlon pour le deuxième temps de résection qui est pratiqué quelques jours plus tard dans la même hospitalisation.
La résection première avec colostomie terminale temporaire (Hartmann) est une alternative à l’opération en deux temps ; elle suppose un second temps de rétablissement de la continuité digestive, qui est une opération elle-même majeure. La sécurité apportée par les interventions en plusieurs temps doit être discutée en raison des risques inhérents aux interventions successives ; certains malades ne vont pas au bout de la stratégie initialement prévue.
Techniques en un temps : d’autres techniques opératoires ont été proposées dans le but d’éviter une dérivation temporaire : colectomie subtotale emportant la totalité du côlon d’amont avec anastomose iléo-sigmoïdienne ou iléo-rectale, colectomie segmentaire avec lavage et préparation peropératoire du côlon d’amont autorisant l’anastomose colocolique ou colorectale dans le même temps.
Endoprothèse colique auto-expansible : les techniques de mise en place de prothèses auto-expansibles (stents) sont essentiellement indiquées pour le traitement palliatif du cancer colique gauche.

Volvulus du côlon


Côlon pelvien

La réduction spontanée est illusoire, succès dans 2 à 3 % des cas. Les techniques thérapeutiques comprennent les lavements simples, le lavement opaque aux hydrosolubles, la rectosigmoïdo­scopie seule ou avec mise en place d’une sonde rectale.
La réduction non opératoire du volvulus ne constitue pas un traitement définitif. Les récidives surviennent dans plus de 40 % des cas après réduction non chirurgicale, et la mortalité de ces récidives est de 11 %. Une réduction de cette morbidité et de cette mortalité ne peut être obtenue que par une thérapeutique chirurgicale élective et définitive.
La résection « à froid » du côlon sigmoïde après détorsion non opératoire, préparation colique, équilibration hydroélectrolytique et générale, dans le cours de la même hospitalisation ou peu de temps après celle-ci, donne les meilleurs résultats (mortalité 8 %). Dans chaque cas individuel, les risques respectifs de la colectomie élective et de la récidive doivent être pesés.

Côlon droit

Le diagnostic de volvulus du cæcum ou du côlon droit conduit nécessairement à l’intervention. Quand le côlon est nécrosé, la résection s’impose. Le choix entre l’anastomose iléocolique en un temps et l’iléostomie avec colostomie est fonction des conditions locales et/ou générales.

Formes occlusives de la sigmoïdite diverticulaire

La décision opératoire pour sténose est rarement prise dans un contexte d’urgence.
Le choix du traitement est fonction des conditions locales, c’est-à-dire de l’importance des lésions inflammatoires et/ou suppurées qui sont responsables de la sténose colique. Dans 50 à 75 % des cas, il est pratiqué une colectomie sigmoïdienne emportant la charnière rectosigmoïdienne avec anastomose colorectale en un temps. Lorsque les difficultés opératoires ou les conditions locales (abcès) le justifient, on peut protéger cette anastomose par une colostomie latérale temporaire refermée, 2 mois plus tard, par une incision élective. L’indication de colo­stomie isolée pour occlusion par sténose sigmoïdienne n’est prise qu’en raison de facteurs de risque généraux majeurs.

Syndrome d’Ogilvie

La coloscopie est la méthode de décompression proposée en première intention. La prise en charge de la cause est indispensable pour limiter le risque de récidive.•
Points forts

Syndrome occlusif de l’enfant et de l’adulte

La clinique, les examens de biologie et de radiologie permettent d’affirmer le diagnostic, d’éliminer des diagnostics différentiels et d’évaluer le mécanisme et la gravité de l’occlusion.

L’examen de référence devant un syndrome occlusif est la tomodensitométrie abdomino-pelvienne avec injection de produit de contraste en l’absence de contre-indication.

Le traitement débute toujours par la mise en place de mesures de réanimation adaptées à l’état clinique du patient ainsi qu’à une surveillance.

Les occlusions par strangulation relèvent toutes d’un traitement chirurgical en urgence, les occlusions par obstruction peuvent bénéficier d’un traitement non interventionnel dans un premier temps en l’absence de signes de souffrance intestinale. En cas d’échec du traitement non interventionnel, un traitement chirurgical s’imposera. Le traitement des occlusions fonctionnelles est médical.

Message auteur

Message de l'auteur

L’occlusion est une cause très fréquente de consultation dans les services d’urgence. L’occlusion est un syndrome qui peut provenir de multiples causes. Tant en raison de son importance en pratique clinique que par la possibilité d’intégrer des questions sur cet item dans un cas clinique progressif, il est particulièrement important de maîtriser cette question.

Il est très facile d’intégrer des questions relatives à l’occlusion dans un cas clinique de cancer colique, pour faire adapter des mesures de réanimation devant une acidose métabolique ou pour faire discuter une conduite à tenir devant une occlusion sur bride à distance d’une chirurgie. Du fait de son caractère transversal et recouvrant un grand nombre d’items, c’est un des items clés en chirurgie digestive.

Dans cet article

Ce contenu est exclusivement réservé aux abonnés