Maladie de Paget du mamelon
MALADIE DE PAGET DU SEIN
Image
Nævus conjonctival
NAEVUS
Image
Sarcoïdose
SARCOIDOSE
Image
Carcinome épidermoïde
CARCINOME EPIDERMOIDE
Image
Lichen plan
LICHEN PLAN
Image
Pigmentation brune
ANEMIE FERRIPRIVE
Image
Pinguécula
PATHOLOGIE DE LA CONJONCTIVE
Image
Naevus spilus
NAEVUS
Image
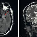
Encéphalite de l’adulte à anticorps anti-GAD
ENCEPHALITE
Image
Carcinome basocellulaire superficiel de la paupière inférieure
CARCINOME BASOCELLULAIRE
Image
Pseudochromidrose
TRAUMATISMES DU PIED
Image
Chéilite granulomateuse de Miescher
CHEILITE GRANULOMATEUSE
Image
Dermatose plantaire juvénile
ECZEMA
Image
Lupus systémique
LUPUS ERYTHEMATEUX DISSEMINE
LUPUS
Image
Épidermodysplasie verruciforme ou homme-arbre
EPIDERMODYSPLASIE VERRUCIFORME DE LEWANDOWSKY-LUTZ
Image
Épidermodysplasie verruciforme ou homme-arbre
EPIDERMODYSPLASIE VERRUCIFORME DE LEWANDOWSKY-LUTZ
Image
Psoriasis inversé
PSORIASIS
Image
Image
Image
Glomérulonéphrite par anticorps anti-membrane basale glomérulaire
GLOMERULONEPHRITE
Image
Image
Image