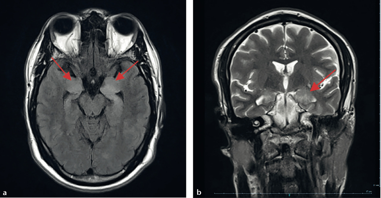
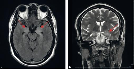
IRM. Troubles mnésiques d’apparition subaiguë chez un patient de 40 ans sans antécédents particuliers. Hypersignal FLAIR bilatéral temporal interne prédominant à gauche (flèche). a) Séquence axiale FLAIR. b) Séquence coronale T2.
Lire aussi
Article
Article