Lupus discoïde
LUPUS
Image
Écarteur mini-invasif
DISCECTOMIE
Image
Hernie discale chez une femme de 30 ans
LOMBALGIE
DEPLACEMENT DE DISQUE INTERVERTEBRAL
Image
Leucoplasie orale chevelue
LEUCOPLASIE CHEVELUE
LEUCOPLASIE
LANGUE
Image
Stomatite
STOMATITE
Image
Réseau lichénien kératosique
LICHEN PLAN BUCCAL
Image
Lymphome T cutané
LYMPHOME T CUTANE
Image
Trypanosoma cruzi, agent de la maladie de Chagas
TRYPANOSOMA CRUZI
MALADIE DE CHAGAS
Image
Lymphome T cutané
LYMPHOME T CUTANE
Image
Électrocardiogramme d'un patient ayant un infarctus antérieur pris en charge à la deuxième heure
INFARCTUS DU MYOCARDE ANTERIEUR
ELECTROCARDIOGRAMME
Image
Syndrome coronaire aigu avec sous-décalage de ST et élévation de troponine
SYNDROME CORONARIEN AIGU
CORONAROGRAPHIE
Image
Scanner cardiaque d'un homme de 56 ans ayant des douleurs thoraciques atypiques
STENOSE CORONARIENNE
Image
Infection de pied diabétique
INFECTIONS OSSEUSES
PIED DIABETIQUE
Image
Pyoderma gangrenosum
RECTOCOLITE HEMORRAGIQUE
PYODERMIE PHADEGENIQUE
Image
Rectocolite hémorragique Score 1
RECTOCOLITE HEMORRAGIQUE
Image
Ulcération superficielle du grêle médian évocatrice de maladie de Crohn
ULCERE
GRELE
MALADIE DE CROHN
Image
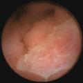
Maladie de Crohn : vidéo-capsule
MALADIE DE CROHN
Image
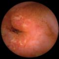
Maladie de Crohn : aspect endoscopiques
MALADIE DE CROHN
Image
Luxation congénitale de la hanche droite. Limitation de l’abduction
LUXATION CONGENITALE DE LA HANCHE
Image
Image
Epiphysiolyse de hanche gauche au stade instable ou aigu
EPIPHYSIOLYSE FEMORALE SUPERIEURE
Image
Occlusion de la veine centrale de la rétine
ANOMALIE DE VISION
OCCLUSION VEINEUSE RETINIENNE
Image
Occlusion de l'artère centrale de la rétine
ANOMALIE DE LA VISION
OCCLUSION VEINEUSE RETINIENNE
Image
Occlusion de la branche veineuse rétinienne
ANOMLIE DE LA VISION
OCCLUSION VEINEUSE RETINIENNE
Image