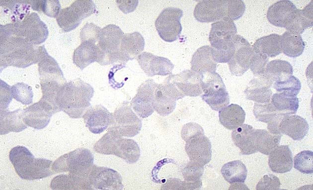
Formes sanguines trypomastigotes. À noter la forme en croissant et le très gros blépharoblaste subterminal.