Image
Exostose : saillie osseuse en continuité avec la corticale
TUMEURS OSSEUSES
EXOSTOSE
Image
Processus lytique au sein de la métaphyse fémorale supérieure
TUMEURS OSSEUSES
Image
Infiltrations tumorales
TUMEURS OSSEUSES
Image
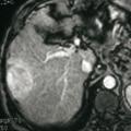
Carcinome hépatocellulaire
TUMEURS DU FOIE
CARCINOME HEPATOCELLULAIRE
Image
Image typique de CHC
TUMEURS DU FOIE
Image
Tomodensitométrie cervicale
TUBERCULOSE
Image
Tuberculose
TUBERCULOSE
Image
Onychomycose sous-unguéale proximale
ONYCOMYCOSE
Image
Fibrillation atriale
FIBRILLATION AURICULAIRE
Image
Lichen plan
LICHEN PLAN
Image
Dilatation des voies biliaires
DILATATION
PANCREATITE
Image
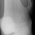
Tumeur à cellules géantes
TUMEUR A CELLULES GEANTES
Image
Image
Syndrome sec buccal au cours de la maladie de Sjögren
SYNDROME DE GOUGEROT-SJOGREN
Image
Photosensibilisation cutanée
PHOTODERMATOSES
Image
Goitre plongeant
GOITRE PLONGEANT
Image
Maladie d’Ollier
ENCHONDROME
Image
Fracture de Cedell
FRACTURE
Image
Ostéoradionécrose fracturaire
OSTEORADIONECROSE
FRACTURES MANDIBULAIRES
Image
Eczéma
ECZEMA
Image
IRM encéphalique suite à un déficit focal et brutal
MANIFESTATION NEUROLOGIQUES
DEFICIT COGNITIF LEGER
HEMANGIOME SYNOVIAL
HEMOSIDEROSE
Image
Diapneusie
MALADIES DE LA BOUCHE
Image
Adénocarcinome polymorphe de bas grade (APBG)
ADENOCARCINOME
TUMEURS DE LA BOUCHE
Image
Rash maculo-papuleux, avec syndrome DRESS
TOXIDERMIES
HYPERSENSIBILITE MEDICAMENTEUSE
EXANTHEME
Image