Un déficit focal et brutal n’est pas toujours un accident ischémique transitoire.

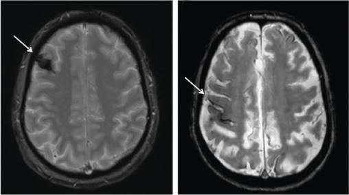
À gauche : patient de 46 ans, gaucher. Troubles du langage durant 5 minutes. Prise en charge ambulatoire pour suspicion d’AIT avec traitement par aspirine pendant 4 jours, prescrit avant l’IRM encéphalique. Découverte, sur cette coupe axiale en séquence T2*-écho de gradient, d’une malformation vasculaire frontale droite de type cavernome (flèche).