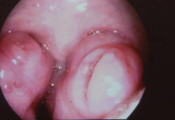
Les amygdales sont hypertrophiées et obstructives, en dehors de toute signe d’angine. Cette hypertrophie peut provoquer une obstruction des voies aériennes.