Skip to main navigation

Header navigation

  • Newsletters newsletter
  • Librairie Librarie
  • Plus plus

Sous menu plus

  • larevuedupracticien larevuedupracticien larevuedupracticien
  • La rédaction La rédaction redaction
  • Indépendance Indépendance Independance
  • DPC DPC DPC
  • JNMG JNMG JNMG
  • Annonces Annonces Annonces
  • E-suppléments E-suppléments
Accueil
La Revue du Praticien

Navigation principale

  • Actualités
  • Vient de paraître
  • Tests
  • Culture
  • Recherche

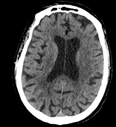
Scanner cérébral normal

Fil d'Ariane

  1. Image
  2. Scanner cérébral normal
É. Crickx, La Revue du Praticien
Scanner cérébral sans injection

Lire aussi

Article
Douleur thoracique stable : le coroscanner d’abord
Article
La simultagnosie des autistes : un hémisphère droit défaillant
Exercice
Covid-19 : pourquoi un risque accru d’embolie pulmonaire ?
Article Web
Covid-19 : une base de données nationale de scanners thoraciques !
Article Web
Covid-19 : des lésions d’imagerie précoces ?
Article Web
Suspicion de Covid-19 : quelle imagerie réaliser ?

La Revue du Praticien

  • Qui sommes-nous ?
  • La rédaction
  • Indépendance & Comités
  • Contactez-nous

Services

  • DPC
  • JNMG
  • Trouver un emploi
  • Commander un livre
  • S'abonner

Informations légales

  • Mentions légales
  • Politique de confidentialité
  • Gestion des cookies
  • Données personnelles
  • Aide (F.A.Q)
Recevoir nos newsletters

La Revue du Praticien © 2021 | un site du groupe Global Média Santé

Tous droits réservés | Powered by Imagence & Global Média Santé

Autres sites du groupe :

  • Egora
  • Concours pluripro