Deux nouvelles études ont été publiées fin février par des équipes chinoises dans le New England Journal of Medicine et dans le Lancet Infectious Diseases

 

La première étude s’est intéressée aux caractéristiques cliniques de la maladie, la seconde aux images tomodensitométriques de cette infection. Dans les deux études l’infection par le SARS-CoV-2 était virologiquement prouvée.

Caractéristiques cliniques du Covid-19

Covid-19 et imagerie

Marie-Aude Dupuy, La Revue du Praticien

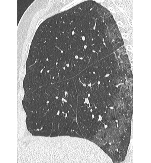
Image : Tomodensitométrie. Patiente de 71 ans sans antécédent, atteinte de Covid-19, ayant une pneumopathie interstitielle. Aspect typique initial : atteinte bilatérale à type de verre dépoli périphérique sous-pleural. Crédit : Société française de radiologie (https://bit.ly/39NaivY).