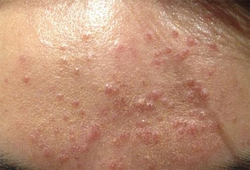
Sarcoïde à petits nodules : les lésions sont maculo-papuleuses, légèrement orangées, infra-centimétriques, non prurigineuses et multiples.
Lire aussi
Exercice
Exercice
Article
Exercice
Article
Sarcoïde à petits nodules : les lésions sont maculo-papuleuses, légèrement orangées, infra-centimétriques, non prurigineuses et multiples.