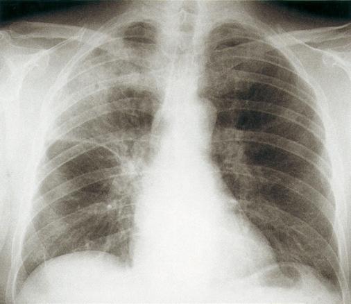
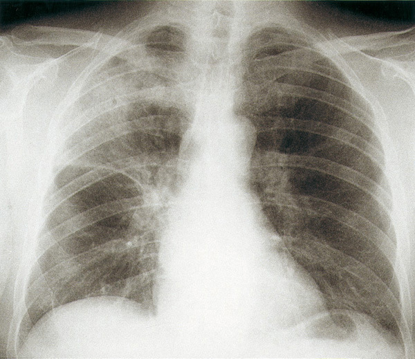
©La Revue du Praticien Radiographie de thorax de face. Pneumonie franche lobaire aiguë supérieure droite à pneumocoque.