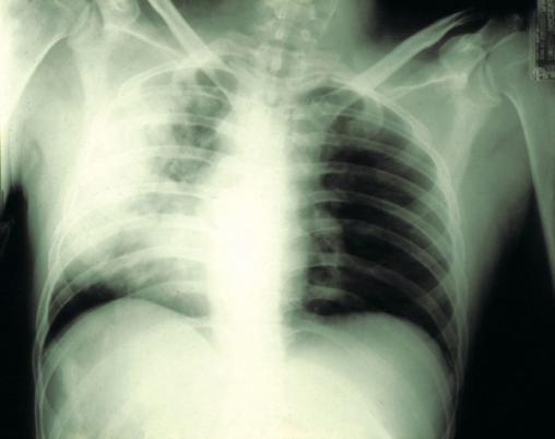
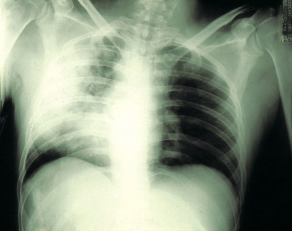
©La Revue du Praticien Radiographie de thorax de face. Opacité alvéolaire du lobe supérieur droit au cours d'une pneumonie à pneumocoque.