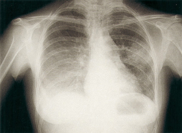
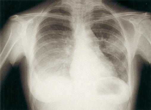
©La Revue du Praticien Radiographie de thorax de face. Pneumonie sévère bilatérale hypoxémiante à pneumocoque.