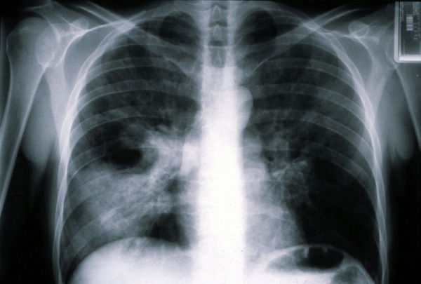
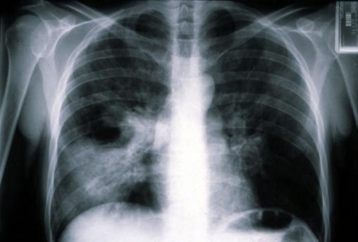
©La Revue du Praticien Radiographie de thorax de face. Pneumonie pneumococcique avec foyers alvéolaires multiples.