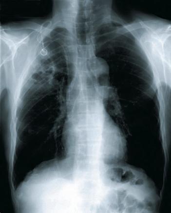
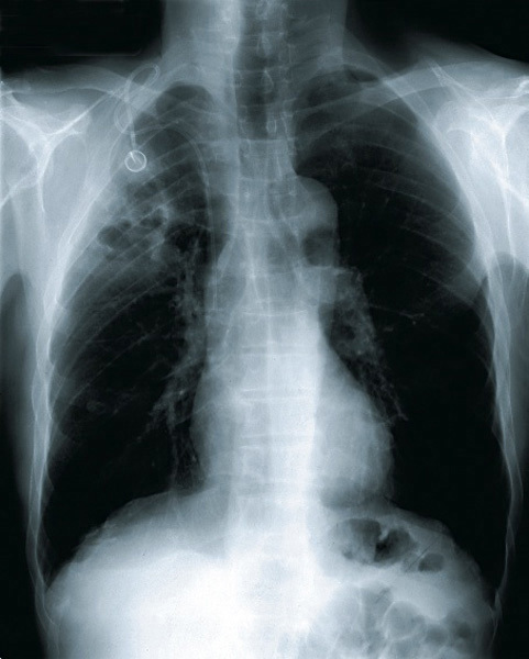
©La Revue du Praticien Opacité du segment apical du lobe supérieur droit avec hyperclartés multiples traduisant le processus nécrosant, caractéristique des bactéries anaérobies, encore appelée pneumonie nécrosante