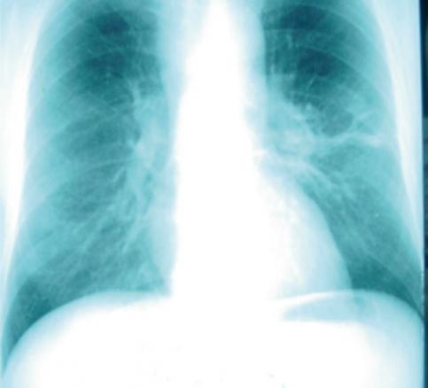
©La Revue du Praticien Radiographie de thorax de face. Syndrome de reconstitution immunitaire au cours d'une tuberculose chez un patient atteint de Sida.