Skip to main navigation
Header navigation
Newsletters
Librairie
Plus
Menu du compte de l'utilisateur
S'abonner
Bookmark page
Sous menu plus
larevuedupracticien
larevuedupracticien
La rédaction
La rédaction
Indépendance
Indépendance
DPC
DPC
JNMG
JNMG
Annonces
Annonces
E-suppléments
E-suppléments
La Revue du Praticien
Navigation principale
Actualités
Vient de paraître
Tests
Culture
Recherche
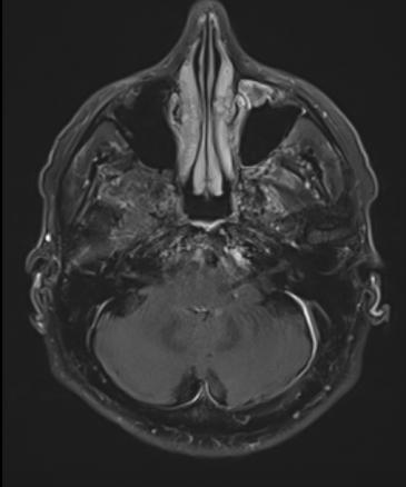
Pachyméningite sous-tentorielle
Lire plus tard
Partager
Imprimer
Ce contenu est exclusivement réservé aux abonnés
Fil d'Ariane
Image
Pachyméningite sous-tentorielle
S. Demortière, La Revue du Praticien
Épaississement de la méninge.
Lire aussi
Article Web
Recrudescence des méningites à entérovirus
Article
La méningite de Mollaret
Exercice
Dossier progressif n°83
Exercice
Dossier progressif n°16