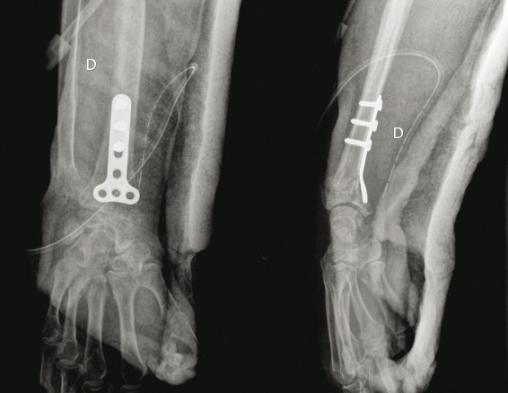
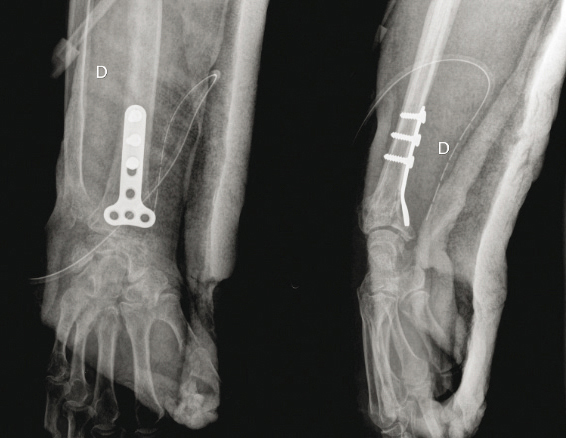
© Henry Coudane, Frédéric Éloy (La Revue du Praticien) (À gauche) Radio de face. (À droite) Radio de profil.