Skip to main navigation
Header navigation
Newsletters
Librairie
Plus
Sous menu plus
larevuedupracticien
larevuedupracticien
La rédaction
La rédaction
Indépendance
Indépendance
DPC
DPC
JNMG
JNMG
Annonces
Annonces
E-suppléments
E-suppléments
La Revue du Praticien
Navigation principale
Actualités
Vient de paraître
Tests
Culture
Recherche
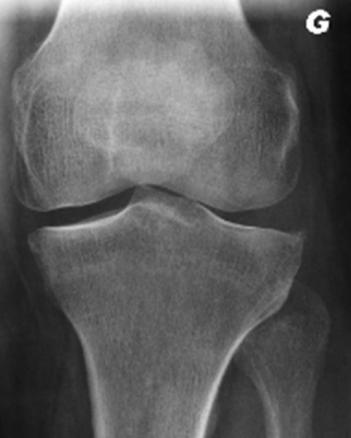
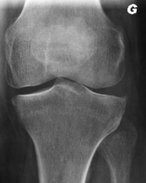
Ostéophytose du genou gauche
Fil d'Ariane
Image
Ostéophytose du genou gauche
Gonalgie gauche interne avec ostéophytose sans pincement du compartiment fémoro-tibial interne.
Lire aussi
Article Web
Gonarthrose : les injections d’acide hyaluronique font (encore) débat
Article Web
Gonalgie : quand prescrire une imagerie et laquelle ?
Article
Infarctus osseux
Article
La ballerine avait une épine
Exercice
Dossier progressif n°63
Exercice
Dossier progressif n°24