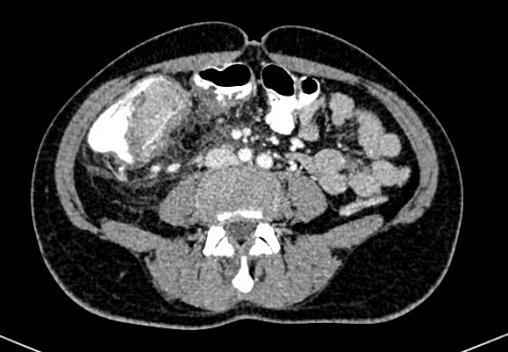
Matthieu Roulleaux Dugage, La Revue du Praticien Syndrome occlusif avec masse colique gauche et perforation contenue dans le mésocolon.